Cười hở nướu do răng khi có tình trạng hô hay răng mọc dài
Điều trị cười hở nướu để có một nụ cười tự nhiên, rạng rỡ là một điều trị rất phổ biến trong ngành nha khoa thẩm mỹ.

Trong các chỉ số thẩm mỹ răng miệng thì khoảng cách lý tưởng giữa đầu nướu (phần chạm với răng) tới vành môi trên là khoảng 3mm. Nếu khoảng cách này dài hơn thì sẽ xảy ra tình trạng cười hở nướu (hay còn gọi là cười hở lợi),
Cười hở nướu do xương khi phần trước xương hàm trên phát triển quá mức theo chiều xuống dưới.
Những trường hợp cười hở nướu do nguyên nhân này thường phải sử dụng phẫu thuật và chỉnh nha để đưa phần xương hàm trên phát triển quá mức trở về bình thường.
Cách giải quyết
Những trường hợp này sẽ được điều trị bởi bác sĩ chỉnh nha bằng cách kéo lui hoặc làm lún các răng cửa. Khi các răng cửa lún hoặc kéo lui sẽ giúp giảm tình trạng cười hở nướu. Tuy nhiên, cười hở nướu cũng có thể là hậu quả của điều trị chỉnh nha. Trong trường hợp này, răng bị dài ra trong quá trình kéo lùi dẫn đến hậu quả cười lộ nướu hoặc làm trầm trọng hơn tình trạng cười hở nướu sẵn có của bệnh nhân.
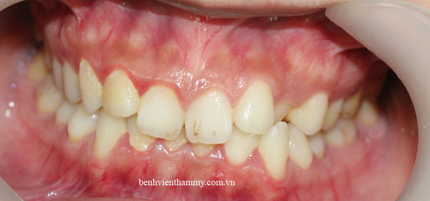
Case lâm sàng tiêu biểu tại Nha Khoa AVA cho cười hở nướu do răng hàm trên trồi được can thiệp chỉnh hình răng thẩm mỹ:
(Hình ảnh bệnh nhân cười hở nướu do răng cửa trồi- cắn sâu)

(Hình ảnh kết thúc điều trị sau 16 tháng chỉnh hình răng)
Lưu ý: Hiệu quả của việc điều trị có thể khác biệt tùy theo thể trạng của từng người.
