Phương pháp chỉnh hình răng mới Invisalign teen
Hiện nay. Invisalign teen là một phương pháp chỉnh nha mới không cần đeo mắc cài và không nhận thấy được. Đây là phương pháp chỉnh nha hiện đại nhất trên thế giới hiện nay trong điều trị chỉnh hình răng mặt cho trẻ em. Invisalign teen đã ra đời đem lại thêm một lựa chọn mới cho những trẻ đặc biệt dành cho trẻ em nào cần chỉnh răng mà không muốn gắn vào răng những mắc cài lộ liễu. Invisalign teen sử dụng loại khay trong suốt giúp trẻ có thể thoải mái cười hết cỡ vì khi đeo vào hầu như không ai phát hiện ra được trẻ đang chỉnh răng.

Invisalign teen là gì ?
Invisalign teen là phương pháp chỉnh hình răng sử dụng một loạt khay trong suốt do máy tính thiết kế có thể tháo ra được để chỉnh răng mà không cần đến dây và mắc cài kim loại. Khay Invisalign trông giống như khay tẩy trắng nhưng được làm khít sát hơn để di chuyển răng.
Invisalign teen được chế tạo như thế nào?
Invisalign teen sử dụng những tiến bộ mới nhất của công nghệ vi tính 3-D được vi tính hoá tiên tiến nhất hiện nay để thiết kế tạo những bộ khay phù hợp cho từng bệnh nhân và gần như không phát hiện được dựa theo những chỉ dẫn của Bác sĩ RHM.

Trẻ sẽ mang từng bộ khay , mỗi khay trẻ mang trong khoảng 2 tuần, răng của trẻ sẽ được di chuyển từng milimét một từ tuần này sang tuần kia cho đến khi đạt kết quả như mong muốn.

Ứng dụng công nghệ 3D mô phỏng trực quan quá trình di chuyển răng, dựng lại trục răng trong suốt quá trình chỉnh nha sẽ tạo ra những bộ khay trong suốt phù hợp với từng thời điểm của sự di chuyển của răng.

Invisalign teen có ưu điểm gì so với mang mắc cài truyền thống?
Không thể nhận thấy được, vì không ai có thể biết được trẻ đang chỉnh răng. Phương pháp này giúp trẻ có nụ cười tự tin suốt thời gian điều trị .
Trẻ có thể tháo khay ra được, vì thế trẻ không cần kiêng những thức ăn , những món mà mình ưa thích trong quá trình điều trị.
Vệ sinh răng miệng tốt hơn ,trẻ giảm được nguy cơ sâu răng và viêm nướu vì trẻ không gặp phải khó khăn trở ngại gì khi chải răng và dùng chỉ nha khoa.
Trẻ có cảm giác rất thoải mái, vì trong miệng hoàn toàn không có dây và mắc cài kim loại .
Tránh một số tình huống có thể xảy ra trong khi điều trị chỉnh nha với mắc cài như gây đau, kích thích môi,má,lưỡi có thể làm xuất hiện một hoặc nhiều điểm lở loét ở niêm mạc môi, má, lưỡi đặc biệt lúc trẻ ăn nhai.

Invisalign teen có nhược điểm gì ?
Giống như tất cả các khí cụ điều trị chỉnh nha, khay có thể tạm thời ảnh hưởng đến giọng nói của trẻ. Tuy nhiên, khi lưỡi của trẻ đã quen với việc mang khay trong miệng, thì giọng nói của trẻ sẽ tự nhiên trở lại.
Trẻ thường có thể bị đau hoặc ê nhẹ trong vài ngày sau khi thay khay mới. Điều này là bình thường. Đó là dấu hiệu cho thấy các khay Invisalign có tác dụng, tiếp tục di chuyển răng của trẻ. Sự đau đớn này sẽ dần dần biến mất sau vài ngày.
Cần sự tuân thủ hợp tác tốt của trẻ. Trẻ sẽ mang từng bộ khay trong khoảng 2 tuần. Invisalign teen chỉ có tác dụng khi trẻ mang khay. Vì thế, trẻ cần mang khay liên tục, cả ngày lẫn đêm,ngoại trừ khi ăn, chải răng và vệ sinh răng bằng chỉ nha khoa.
Điều trị với Invisalign teen mất bao lâu?
Invisalign teen điều trị hiệu quả cho rất nhiều trường hợp răng bị chen chúc, răng thưa, hẹp cung hàm, tái phát sau chỉnh nha, hô răng trước và những điều trị có chừng mực.

Trẻ sẽ đến BS Chỉnh nha để kiểm tra định kỳ thường khoảng 6 tuần 1 lần để bảo đảm việc điều trị đang tiến triển như hoạch định.
Tổng thời gian điều trị trung bình khoảng12-18 tháng và số lượng khay phải mang trung bình khoảng 18 -30 khay, tuy nhiên thời gian điều trị và số lượng khay thay đổi tùy vào độ khó của trường hợp. Chỉ BS Chỉnh nha mới có thể xác định thời gian điều trị cần thiếtcho từng trường hợp là bao lâu.
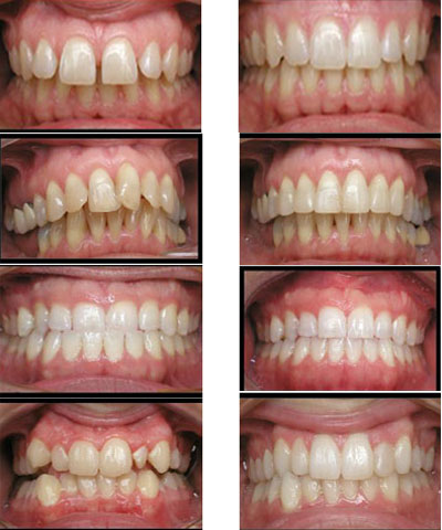
Trước điều trị và sau khi điều trị .
Ths Bs NGUYỄN QUỐC DŨNG
Phó Trưởng Khoa RHM
BV Nhi Đồng 1
Để Chỉnh hình răng An toàn-Tiết kiệm-Thẩm mỹ hãy liên hệ Bệnh viện AVA chúng tôi:
![]()