Cắn chéo răng trước ở trẻ em
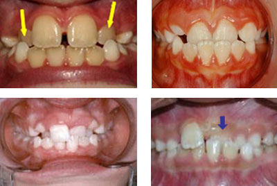
Cắn ngược hay cắn chéo là tình trạng răng dưới phủ ngoài răng trên. Hiện tượng này xảy ra khi răng hàm trên cắn vào bên trong răng hàm dưới. Cắn chéo răng trước là một loại sai khớp cắn phổ biến thường gặp ở trẻ em 7 -10%, ảnh hưởng cả thẩm mỹ và chức năng nhai.
Điều trị cắn chéo răng trước ở trẻ em nên bắt đầu càng sớm càng tốt sau khi được bác sĩ chuyên về chỉnh hình răng mặt phát hiện và chẩn đoán.

Cắn chéo răng trước có thể xảy ra với một hay nhiều răng đặc biệt khi cắn chéo nhiều hơn 2 răng thì nguyên nhân thường là do xương.

I /Nguyên nhân gây cắn chéo răng trước ở trẻ em.
1) Cắn chéo nguyên nhân do răng:
a- Do các răng cửa vĩnh viễn của trẻ mọc bất thường.
b- Sau chấn thương các răng cửa sữa làm dịch chuyển các mầm răng vĩnh viễn
c- Một số bậc cha mẹ giữ các răng sữa của trẻ quá lâu làm các răng vĩnh viễn khi mọc lên sẽ phải nằm vào phía sau răng sữa. Nếu điều này xảy ra ở hàm trên của trẻ, thì khi trẻ cắn lại thì bờ cắn các răng cửa vĩnh viễn hàm trên sẽ nằm phía sau răng cửa hàm dưới.
d- Do chiều dài cung răng không đủ.
e- Do trẻ có tật cắn môi trên.

2) Cắn chéo nguyên nhân do xương:
a- Do di truyền.
b- Do xương hàm trên kém phát triển.
c- Do xương hàm dưới phát triển quá mức.

3) Cắn chéo do chức năng :
a- Khớp cắn hạng III giả.
b- Do trẻ có thói quen đưa hàm dưới ra phía trước.

II/Chữa trị cắn chéo răng trước sớm cho trẻ có lợi gì?
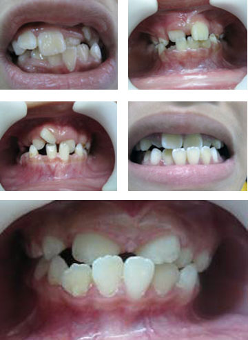
Với những trẻ cắn chéo răng trước dù là chỉ bị cắn chéo 1 răng cũng cần điều trị can thiệp sớm. Chỉnh hình răng mặt càng sớm hiệu quả đạt được sẽ càng cao, sẽ thay đổi được thói quen xấu về miệng như tật cắn môi, sẽ giúp cho cung răng , xương hàm và các cơ nhai của trẻ phát triển hài hòa với khuôn mặt thẩm mỹ hơn, nâng cao vẻ đẹp bề ngoài, tăng sự tự tin cho trẻ.
Điều trị sớm sẽ giúp điều chỉnh sự chênh lệch giữa xương hàm trên và xương hàm dưới , khớp cắn giữa hai xương hàm sẽ hài hòa hơn.
Nếu trẻ không được điều trị, khớp cắn của trẻ càng lúc càng phát triển theo hướng bất lợi có thể dẫn đến lệch lạc sai khớp cắn trầm trọng về sau. Nếu để đến thời điểm trẻ đã lớn, sẽ không thể điều trị được bằng chỉnh nha đơn thuần, mà phải dùng phương pháp chỉnh hình phẫu thuật phức tạp tốn nhiều thời gian và chi phí điều trị tốn kém nhiều.
III/Điều trị cắn chéo răng trước ở trẻ em.
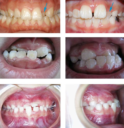
1)Ít khi có chỉ định điều trị cắn chéo răng trước ở hệ răng sữa vì hiếm khi các răng sữa chen chúc trầm trọng ở hệ răng sữa.

2)Việc điều trị cắn chéo răng trước ở trẻ em sẽ phụ thuộc vào nguyên nhân cơ bản. Điều quan trọng là cần phải xác định cắn chéo răng trước là do nguyên nhân xương hàm hoặc do sự di chuyển của răng.
3)Nếu cắn chéo thuần túy do xương , trong trường hợp cắn chéo nghiêm trọng, có thể cần phải phẫu thuật để điều chỉnh của các biến dạng xương, tái định vị xương hàm nhằm sửa chữa sai lệch khớp cắn này để thiết lập một khớp cắn đúng và tạo lại vẻ hài hoà cho khuôn mặt của trẻ.

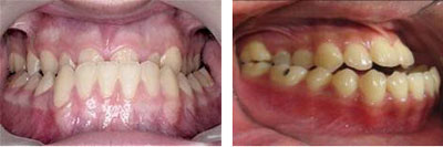
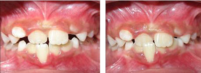
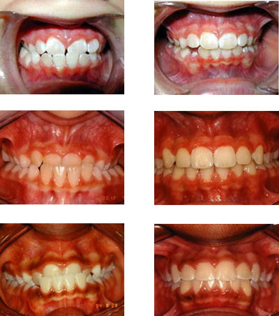
Trước điều trị và sau điều trị
IV/Biến chứng cắn chéo răng trước ở trẻ em
Điều trị cắn chéo răng trước ở trẻ em nên bắt đầu càng sớm càng tốt sau khi được phát hiện để ngăn ngừa một số biến chứng. Khớp cắn ngược trông không đẹp , mất thẫm mỹ. Bên cạnh mối quan tâm thẩm mỹ, cần điều trị cắn chéo răng trước ở trẻ em càng sớm càng tốt vì cắn chéo có thể gây ra nhiều vấn đề cho khớp thái dương hàm ,làm trẻ bị đau đầu , đau vai, đau cổ và hạn chế chuyển động của các hàm.Cắn chéo cũng gây áp lực quá mức lên xương hàm có thể gây mòn men răng, gây ra tình trạng mòn răng không đều ở các răng phía trước, răng lung lay, và khuôn mặt không đối xứng.
Điều trị cắn chéo răng trước cho trẻ có thể giúp ngăn ngừa những vấn đề này và thậm chí có thể thay đổi cấu trúc khuôn mặt của trẻ tốt hơn.
Ths Bs NGUYỄN QUỐC DŨNG
Phó Trưởng Khoa RHM
BV Nhi Đồng 1
( Nguồn nhidong.org.vn )
Để Chỉnh hình răng An toàn-Tiết kiệm-Thẩm mỹ hãy liên hệ Bệnh viện AVA chúng tôi:
![]()