Đôi điều về điều trị tật mút tay

Chỉ khi nào trẻ nhận ra thói quen, hậu quả, cùng hiểu được sự cần thiết phải loại bỏ thói quen thì mới có thể điều trị được.
• Phần lớn trẻ 4 -5 tuổi tự bỏ thói quen mút ngón tay.
• Nếu trẻ không bỏ được thói quen này, nha sĩ nên nói chuyện trực tiếp với trẻ về thói quen.
• Có thể trẻ sẽ bỏ dần thói quen mút tay, đặc biệt là những trẻ lớn có hiểu biết.
• Tiếp theo, cần dùng biện pháp " nhắc nhở"cùng với những lời giải thích.

Có thể khiến trẻ không mút ngón tay bằng cách thoa các chất có mùi vào ngón tay, bọc ngón tay lại bằng vải hoặc cho trẻ mang bao tay.
• Một miếng băng keo không thấm nước dán ở ngón tay trẻ thường mút sẽ nhắc nhở trẻ. Có thể kèm theo những phần thưởng nhỏ cho những ngày trẻ không mút tay.
Nếu tất cả những trị liệu trên đều thất bại và trẻ thật sự muốn bỏ thói quen , ta dùng một băng đàn hồi quấn xung quanh khuỷu tay trẻ để ngăn việc trẻ đưa tay vào miệng. Chỉ cần mang băng đàn hồi ban đêm, trong thời gian 6 - 8 tuần là đủ. Cần phải giải thích cho trẻ hiểu rằng đó không phải là hình phạt mà chỉ giúp trẻ từ bỏ thói quen xấu.
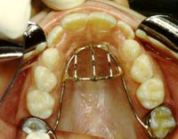
• Cuối cùng chúng ta cần một khí cụ trong miệng để nhắc nhở trẻ(Khí cụ cố định thường được được dùng hơn khí cụ tháo lắp)

- Tùy theo tuổi, hệ răng, và thói quen mà chọn khí cụ cố định hay tháo lắp. Khi trẻ chỉ có răng sữa hay khi ở giai đoạn đầu của hệ răng hỗn hợp, các răng vĩnh viễn chưa mọc lên hoàn toàn không thuận tiện cho việc đặt các móc của khí cụ tháo lắp. Tuy nhiên, loại khí cụ tháo lắp dễ thực hiện và điều chỉnh, nhất là tránh cho trẻ cảm giác bị chừng phạt khi phải mang hàm cố định, vì trẻ có thể chỉ mang hàm tháo lắp vào ban đêm, khi ngủ và tùy theo ý muốn.
- Dường như khí cụ nào làm cho mút tay từ vô thức thành có ý thức sẽ giúp trẻ bỏ được mút tay vì trẻ thấy không cần thiết nữa hay không cảm thấy muốn mút tay nữa. Phối hợp để điều chỉnh răng lệch hay xoay trong lúc thiết kế khí cụ nhắc nhở không những cần thiết mà còn rất thích đáng. Trong đa số trường hợp răng lệch sẽ tự chỉnh lại khi bỏ mút tay, đó là một quá trình từ từ. Dùng khí cụ này, răng sẽ sắp lại đúng vị trí, trẻ có cảm giác có kết quả và thành công nên càng mong muốn bỏ mút tay. Một tác dụng khác của khí cụ là làm cho miệng không kín hơi, nên trẻ không mút tay được.
- Khí cụ Hawley, có dây cung môi có thể điều chỉnh được bằng cách bóp quai chữ U ở vùng răng nanh, là một khí cụ dễ thực hiện và có thể dùng để chỉnh lại các răng trước nên bị đẩy ra trước cũng như đóng kín các khoảng trống, nếu muốn.
- Bệnh nhân và bố mẹ phải hiểu được rằng khí cụ không chỉnh được khớp cắn hạng II chi 1 (hô)hay khớp cắn hạng I có cắn chìa nhiều và răng to. Tuy nhiên khí cụ giúp cải thiện được sự sắp xếp các răng và làm giảm bớt độ cắn chìa. Điều trị chỉnh hình là cần thiết để chỉnh những lệch lạc khớp cắn.
- Sau khi trẻ ngưng mút tay, cần đeo thêm khí cụ thêm 6 tháng nữa để đảm bảo thói quen được bỏ hoàn toàn.

(benhvienthammy.com.vn)

logoavavanlangBệnh Viện Nha Khoa Thẩm Mỹ AVA
Địa chỉ : 290 Hai Bà Trưng - P.Tân Định - Q.1 - TP.HCM
Hotline : 0822.297.297