niềng răng móm là lựa chọn hoàn hảo nhất
Lựa chọn niềng răng móm là giải pháp tối ưu để điều trị khỏi hắn răng móm là bởi vì răng móm rất phức tạp khó đưa chúng vào đúng vị trí được.

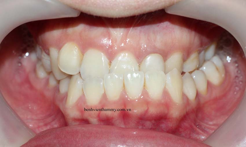
Hàm răng móm thường có hàm dưới nhô ra ngoài so với hàm trên răng thường không tương quan, không theo tỷ lệ chuẩn nào mất cân đối. Hai hầm răng không khớp vào nhau
Răng hàm trên nắm trong hàm dưới làm cho răng chạm vào nướu tùy theo mức độ nặng nhẹ mà răng có thể chạm mặt trong của răng hàm dưới hoặc nướu răng


Người bị răng móm thường có răng ở hai hàm không đều làm cho tình trạng răng móm càng trở nên trầm trọng hơn do đó các bạn cần niềng răng móm càng sớm càng tốt.

Để điều trị răng móm thì phương pháp được các bác sĩ khuyên dùng là niềng răng móm.
Bởi vì niềng răng thế hệ mới nhất sẽ kéo răng về lại vị trí tương quan của hai hàm răng theo đúng chiều của nó. Hiện nay chưa có phương pháp nào tối ưu hơn phương pháp niềng răng móm để chữa hết móm lấy lại thẩm mỹ cho khuôn mặt.



Một kế hoạch điều trị chỉnh nha toàn diện luôn được xem xét ở nhiều yếu tố, khía cạnh và tùy thuộc vào hoàn cảnh của từng bệnh nhân để đạt được một kết quả tốt. Bác sĩ chỉnh nha của nha khoa AVA không chỉ quan tâm và “khám” cho hàm răng của bạn, mà còn những vấn đề khác như thời gian, mối quan tâm và động lực để chỉnh nha, từng hoàn cảnh cụ thể, từ đó chúng tôi sẽ đưa ra một kế hoạch riêng phù hợp cho từng bệnh nhân.
Hình ảnh lâm sàng được điều trị tại Nha khoa Thẩm mỹ AVA
