Quá trình chỉnh hình răng ở trẻ được tiến hành như thế nào?
-
Lần khám đầu tiên:
- Bác sĩ sẽ lấy mẫu răng bằng thạch cao để nghiên cứu và chụp những phim X quang cần thiết để phục vụ cho chỉnh nha.
- Lần khám thứ 2:
- Sau khi khám lâm sàng, có phim X quang đầy đủ, Bác sĩ sẽ tư vấn những thông tin về quy trình thực hiện chỉnh răng ,
- sẽ có phương pháp điều trị riêng cho từng trường hợp, cho biết thời gian chỉnh răng trong bao lâu, trao đổi các qui định trong việc hợp tác chỉnh hình răng mặt để có hiệu quả, các chi phí cần thiết cho việc điều trị.
- Các lần khám tiếp theo đúng lịch hẹn của bác sĩ, cách nhau khoảng 2 tuần hay 1 tháng : bác sĩ gắn mắc cài lên răng , chỉnh dây cung và mắc cài để từ từ điều chỉnh các răng lệch lạc vào đúng vị trí của nó, xử lý các vấn đề cụ thể xảy ra trong quá trình nắn chỉnh răng . Những ngày đầu mang mắc cài trên răng, trẻ có thể hơi đau và thấy không thoải mái lắm, nhưng chỉ sau 1,2 tuần trẻ sẽ thích nghi dần .
Việc điều trị chỉnh hình răng kéo dài bao lâu?
- Chỉnh hình răng mặt là một quy trình điều trị được thực hiện trong một khoảng thời gian dài tùy từng trường hợp . Thời gian điều trị tùy theo từng trường hợp cụ thể , thời gian thực tế còn phụ thuộc vào độ tuổi , tính nghiêm trọng các sai lệch mức độ lệch lạc của răng và sai hình của hàm, mức độ phức tạp phải di chuyển răng, phương pháp điều trị được áp dụng và sự hợp tác của bệnh nhân, sự đáp ứng của mô đối với vấn đề di chuyển răng nên rất khó đưa ra thời gian điều trị chính xác.
-
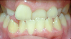
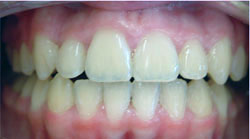
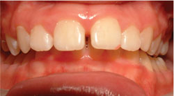
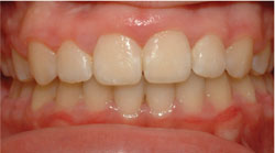
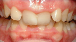
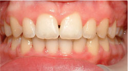
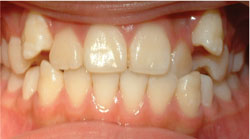
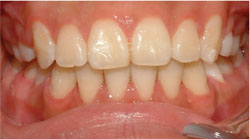
TRƯỚC ĐIỀU TRỊ SAU ĐIỀU TRỊ 







ThS BS Nguyễn Quốc Dũng
Phó Trưởng Khoa RHM