Vẩu xương hàm dưới và cách điều trị

Vẩu xương hàm dưới là một bệnh lý hay gặp trong nhóm bệnh lệch lạc răng -hàm. Bệnh này thường có liên quan đến di truyền, ảnh hưởng nhiều đến thẩm mỹ khuôn mặt cũng như chức năng ăn nhai. Điều trị cũng tương đối phức tạp, cần có sự theo dõi, chẩn đoán và điều trị bởi các bác sĩ chỉnh nha. Nhiều trường hợp cần phải được chẩn đoán và điều trị rất sớm ngay từ lúc răng sữa.
1.Vẩu xương hàm dưới là gì?
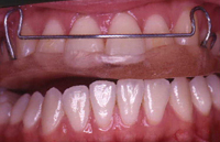
Khớp cắn ngược ở bộ răng sữa do vẩu xương hàm dưới.
Vẩu xương hàm dưới là một rối loạn về cấu trúc, được đặc trưng bởi đặc điểm xương hàm dưới bị đưa ra trước, cung răng dưới bị di về phía gần so với hàm trên ở tư thế chạm múi tối đa
2.Chẩn đoán vẩu xương hàm dướiCần dựa vào triệu chứng lâm sàng và phim Xquang sọ mặt chụp theo kỹ thuật từ xa. Thường có các triệu chứng sau:
Tầng mặt dưới tăng kích thước theo mặt phẳng dọc giữa, môi dưới và cằm lồi làm cho chúng ta có ấn tượng xương hàm trên bị xóa, nhất là khi nhìn nghiêng, mũi cao làm cho dấu hiệu này càng rõ hơn. Cung răng trên thường hẹp hơn cung răng dưới. Khớp cắn bị rối loạn, răng cửa ở tư thế đầu chạm đầu hoặc ngược. Răng nanh dưới ăn khớp với răng cửa bên hàm trên, răng số 6 hàm dưới ăn khớp với răng số 5 hàm trên. Môi trên thường bị lùi sau so với môi dưới làm khối tiền hàm kém phát triển. Môi dưới hoạt động quá mức làm răng cửa dưới bị nghiêng vào trong. Lưỡi to thật sự thường hiếm gặp, thường gặp lưỡi to tương đối do xương hàm trên kém phát triển. Lưỡi thường ở tư thế thấp và bị đẩy ra trước do quá phát amidan. Tác dụng của nó lên trên răng cửa tùy thuộc vào vị trí của đầu lưỡi lên trên răng cửa trên, cửa dưới hay giữa 2 hàm. Cơ thái dương và cơ cắn hoạt động quá mức ảnh hưởng đến chỗ bám hoặc góc hàm. Có thể gặp thở miệng phối hợp với rối loạn tăng trưởng xương hàm dưới. Động tác nuốt thường bị rối loạn do tư thế lưỡi thấp, thường có hội chứng lưỡi phủ lên cung răng trên. Rối loạn phát âm S, B, P.
Phim sọ mặt chụp từ xa nghiêng: có nhiều phân tích khác nhau để chẩn đoán vẩu xương hàm dưới thông qua các số đo góc, ví dụ như: góc ANB < 0o, góc mặt tăng, mặt phẳng Nasion Pogonion với mặt phẳng Franfort <95o khi hàm dưới đưa ra trước...
3.Vẩu xương hàm dưới cần chẩn đoán phân biệt với các bệnh gì?
Cần phải chẩn đoán phân biệt với một số trường hợp khác như: thiếu phối hợp ở xương hàm dưới (hàm dưới đưa ra trước), lùi xương hàm trên, lùi xương ổ răng trên, hàm trên thiếu chiều dài (thường gặp trong trường hợp khe hở môi vòm miệng), vẩu xương ổ răng dưới, cằm lùi. Để chẩn đoán phân biệt với những trường hợp này cần phải phân tích trên phim Xquang sọ mặt chụp theo kỹ thuật từ xa.
4.Vẩu xương hàm dưới do đâu?
Di truyền: là nguồn gốc của vẩu xương hàm dưới di truyền theo kiểu trội. Tăng các hormon có thể làm xương hàm dưới phát triển quá mức ở trẻ em (bệnh khổng lồ) và người lớn (bệnh to cực). Thiểu năng tuyến giáp trong bệnh phù niêm bẩm sinh có thể làm biến dạng lưỡi và xương hàm dưới. Lưỡi hoạt động mạnh có thể làm thay đổi hình dạng răng-xương ổ răng. Các yếu tố nguy cơ toàn thân, thường có biểu hiện ở hệ thống dây chằng hơn là ở xương.
Yếu tố nguy cơ môi trường: người có sọ ngắn tạo thuận lợi cho hàm dưới đưa ra trước. Hàm trên ngắn làm lưỡi bị đẩy xuống thấp gây vẩu xương hàm dưới. Thiếu răng cửa vĩnh viễn trên hoặc nhổ sớm răng sữa trên làm khối tiền hàm xương hàm trên kém phát triển, tạo thuận lợi cho xương hàm dưới trượt ra trước.
Hình thái miệng hầu: môi, lưỡi, vùng vòm hầu và amidan có thể làm thay đổi quan hệ hàm trên và dưới hoặc kìm hãm sự phát triển xương hàm trên hoặc đẩy hàm dưới vượt ra trước.
5.Làm thế nào để điều trị vẩu xương hàm dưới?
Điều trị có thể bằng cách chỉnh hàm (chỉnh xương), chỉnh răng hoặc phẫu thuật. Mục tiêu điều trị là sửa chữa sự lệch lạc giữa cung răng trên và cung răng dưới ở tư thế khớp cắn chạm múi tối đa, lập lại sự hài hòa giữa 2 xương hàm.
- Các phương tiện chỉnh xương: Mục đích là kết hợp hoạt động các cơ nhai, chú ý đến các hoạt động kéo lùi; sửa chữa thăng bằng lưỡi-môi-má để tăng lực làm rộng xương hàm trên ở phía vòm miệng, kìm hãm sự tăng trưởng của xương hàm dưới, thúc đẩy sự tăng trưởng của xương hàm trên và khối tiền hàm, thành lập một nút chặn khớp ngăn chặn sự trượt ra trước của xương hàm dưới nhờ một cái chặn ở răng cửa và chạm múi đầy đủ của các răng bên. Các phương tiện này thường được dùng trong trường hợp vẩu xương hàm dưới ổ răng hoặc nền xương có nguồn gốc chức năng ngay từ lúc hàm răng sữa. Các khí cụ này cũng có hiệu quả trong giai đoạn hàm răng hỗn hợp hoặc giai đoạn đầu bộ răng vĩnh viễn. Các khí cụ chỉnh xương này có rất nhiều loại như: hàm chức năng, khí cụ chỉnh xương cơ học.
- Các biện pháp dự phòng bổ sung: như mài răng nanh sữa, dùng thanh gỗ để định hướng sự mọc răng cửa trên có hiệu quả trước và trong khi điều trị để làm giảm nguy cơ hàm dưới trượt ra trước chức năng.
Các phương tiện chỉnh răng: được chỉ định cho các hàm răng vĩnh viễn hoặc cuối giai đoạn răng hỗn hợp, kết hợp chặt chẽ với chỉnh xương cơ học hoặc phẫu thuật. Mục đích nhằm tạo sự phối hợp tốt giữa các cung răng, đạt được sự lồng múi toàn bộ ngăn cản sự trượt ra trước của xương hàm dưới. Khi sử dụng các khí cụ này có thể phải nhổ răng hoặc không nhổ răng, không nhổ răng trong các trường hợp không có sự mất hài hòa giữa răng và xương hàm.
- Các phương pháp phẫu thuật: Thường chỉ định trong các trường hợp vẩu xương hàm dưới nguyên thể do di truyền. Khi phẫu thuật có thể ở một hoặc nhiều vị trí sau: cành lên xương hàm dưới, góc hàm, thân xương hàm dưới. Ngoài ra có thể phẫu thuật bổ sung đưa xương hàm trên ra trước, phẫu thuật lưỡi. Cắt lưỡi nhằm mục đích tránh tái phát, hay chỉ định trong trường hợp có kiểu mặt dài.
- Duy trì kết quả: tùy theo phương pháp điều trị. Phải duy trì kết quả cho đến khi kết thúc sự tăng trưởng xương hàm dưới. Tất cả các yếu tố răng, cơ, xương đều tham gia vào quá trì ổn định lập lại sự hài hòa của hàm dưới với mặt.
ThS. Võ Trương Như Ngọc
( Sức khỏe và đời sống )
Bệnh Viện Nha Khoa Thẩm Mỹ AVA
Địa chỉ : 290 Hai Bà Trưng - P.Tân Định - Q.1 - TP.HCM
Hotline : 0822.297.297