Chi phí niềng răng hô nhẹ là bao nhiêu?
Răng hô nhẹ tuy không gây ảnh hưởng nghiêm trọng đến sức khỏe nhưng lại khiến nhiều người mất tự tin khi cười hoặc giao tiếp. Vậy niềng răng hô nhẹ có cần thiết không? Và chi phí niềng răng hô nhẹ là bao nhiêu? Hãy cùng Nha khoa AVA tìm hiểu chi tiết trong bài viết dưới đây.
1. Răng hô nhẹ là gì?
Răng hô nhẹ là tình trạng răng cửa hàm trên chìa ra ngoài so với hàm dưới, nhưng ở mức độ không quá rõ ràng. Trường hợp này thường:
- Gây mất thẩm mỹ nhẹ
- Khi cười, răng trên che phủ môi dưới
- Có thể do răng mọc sai hướng hoặc do xương hàm trên hơi phát triển
2. Răng hô nhẹ có cần niềng không?
- Có! Niềng răng hô nhẹ giúp đưa răng về đúng vị trí, cải thiện khớp cắn, gương mặt hài hòa và cười tự nhiên hơn.
- Ngoài ra, niềng răng còn giúp bạn dễ vệ sinh răng miệng, hạn chế các bệnh lý như sâu răng – viêm nướu.
Ưu điểm khi điều trị sớm:
- Răng di chuyển nhanh hơn
- Không cần nhổ răng (ở phần lớn trường hợp)
- Thời gian niềng ngắn, chi phí tiết kiệm hơn so với ca hô nặng
3. Chi phí niềng răng hô nhẹ là bao nhiêu?
Tại Nha khoa AVA, chi phí niềng răng hô nhẹ phụ thuộc vào phương pháp bạn chọn:
| Bảng giá niềng răng (Chỉnh hình răng) | Giá tham khảo | |
|---|---|---|
| 1 | Khám và tư vấn | Miễn phí |
| 2 | Chỉnh hình răng trẻ em (Giai đoạn 1:8-12 tuổi 20 triệu, Giai đoạn 2: 12-14 tuổi 20 triệu) | 40,000,000 Vnđ |
| 3 | Niềng răng mắc cài kim loại truyền thống Victory 3M | |
| Cấp độ 1: 15,000,000 Vnđ - Cấp độ 2: 35,000,000 Vnđ - Cấp độ 3: 45,000,000 Vnđ | ||
| 4 | Niềng răng mắc cài tự buộc Smart Clip 3M | |
| Cấp độ 1: 30,000,000 Vnđ - Cấp độ 2: 40,000,000 Vnđ - Cấp độ 3: 50,000,000 Vnđ | ||
| 5 | Niềng răng mắc cài sứ thẩm mỹ | |
| Cấp độ 1: 40,000,000 Vnđ - Cấp độ 2: 50,000,000 Vnđ - Cấp độ 3: 60,000,000 Vnđ | ||
| 6 | Niềng răng mắc cài sứ thẩm mỹ Smart Clip | |
| Cấp độ 1: 50,000,000 Vnđ - Cấp độ 2: 60,000,000 Vnđ - Cấp độ 3: 70,000,000 Vnđ | ||
| 7 | Niềng răng mắc cái trong (mắc cài mặt lưỡi) | 80.000.000 Vnđ |
| 8 | Niềng răng trong suốt invisalign | |
| Cấp độ 1: 50,000,000 Vnđ - Cấp độ 2: 80,000,000 Vnđ - Cấp độ 3: 120,000,000 Vnđ | ||
| 9 | Mini – screw | 2.000.000 Vnđ/Cái |
| 10 | Khí cụ duy trì Chỉnh nha khay trong | 1.000.000 Vnđ / 1 hàm |
| 11 | Khí cụ duy trì Chỉnh nha HAWLEY | 2.000.000 Vnđ / 1 hàm |
AVA hỗ trợ trả góp 0%, chỉ từ 1 triệu/tháng, phù hợp với học sinh – sinh viên, người đi làm.
4. Quy trình niềng răng hô nhẹ tại Nha khoa AVA
- Bước 1: Khám tổng quát & chụp phim X-quang miễn phí
- Bước 2: Phân tích mức độ hô & lên kế hoạch điều trị
- Bước 3: Gắn khí cụ niềng hoặc giao khay trong suốt
- Bước 4: Theo dõi định kỳ theo chỉ định của BS (mỗi 1–4 tuần)
- Bước 5: Hoàn tất & đeo hàm duy trì sau khi răng đã đều
Thời gian niềng trung bình: 12 – 18 tháng tùy mức độ hô răng
5. Vì sao nên chọn Nha khoa AVA để niềng răng hô nhẹ?
- Bác sĩ Phạm Việt Hùng chỉnh nha chuyên sâu – hơn 16 năm kinh nghiệm
- Không nhổ răng nếu không cần thiết – ưu tiên bảo tồn tối đa
- Trang thiết bị hiện đại
- Đội ngũ tư vấn tận tâm – theo sát từng ca từ đầu đến khi tháo niềng
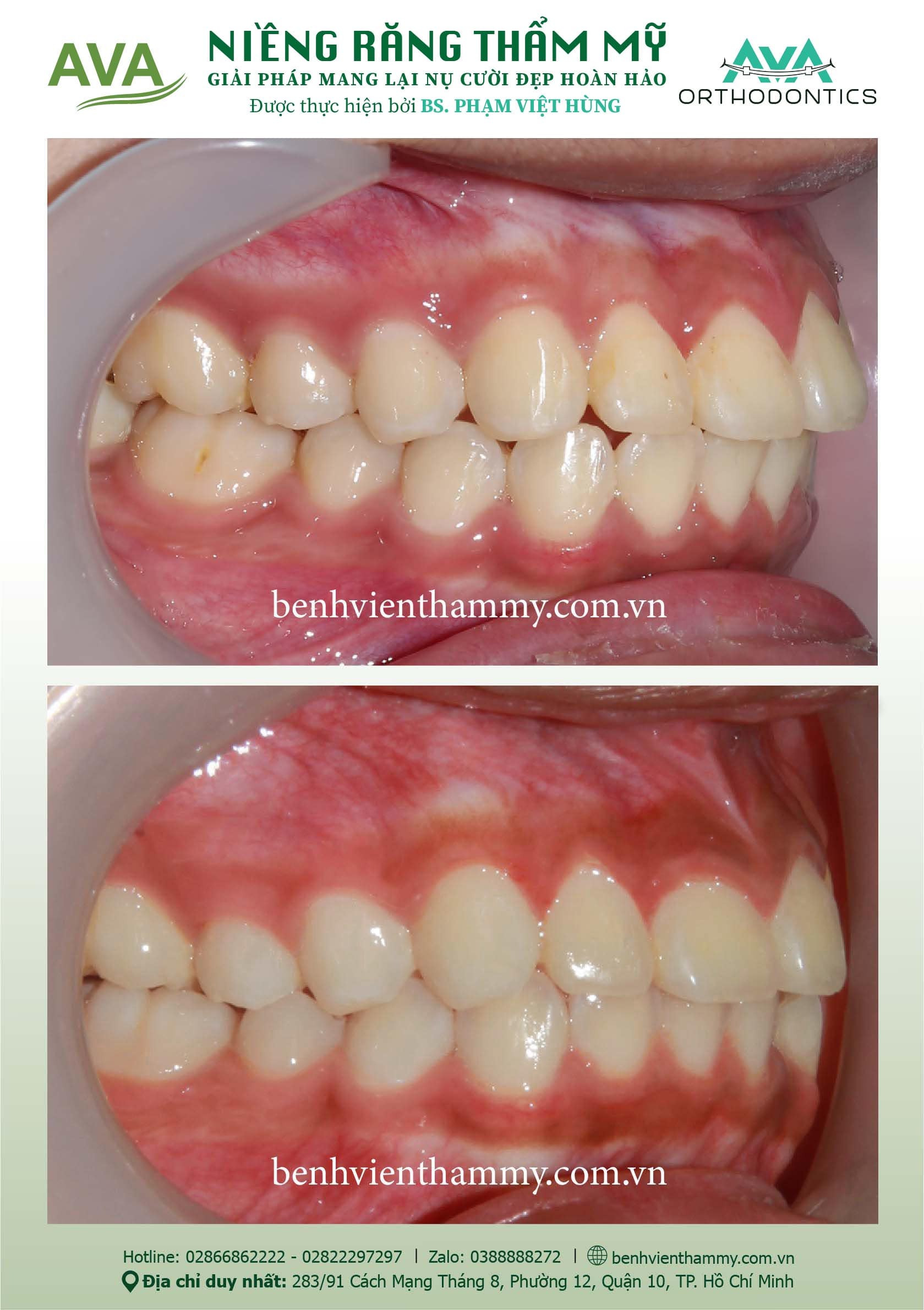
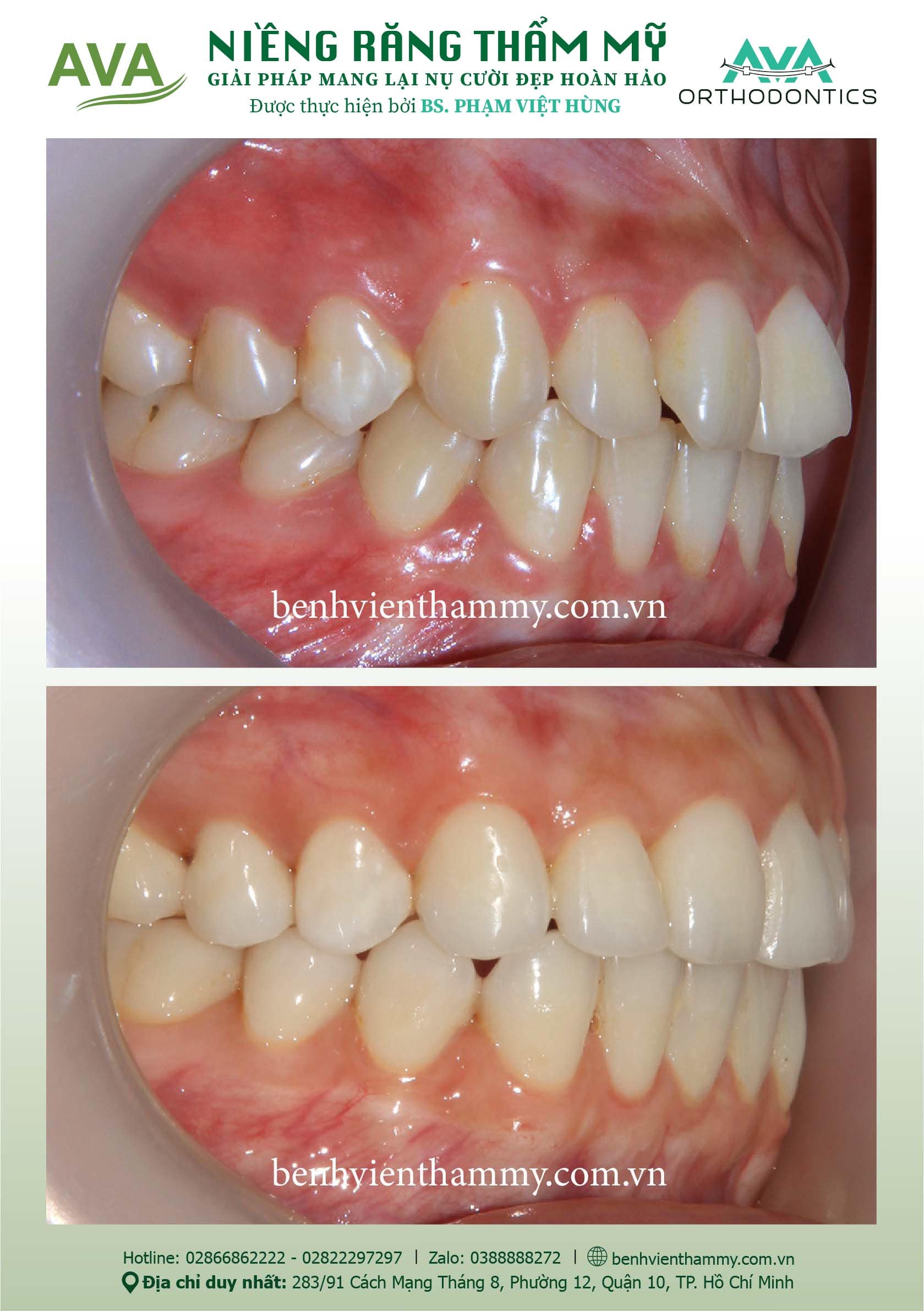
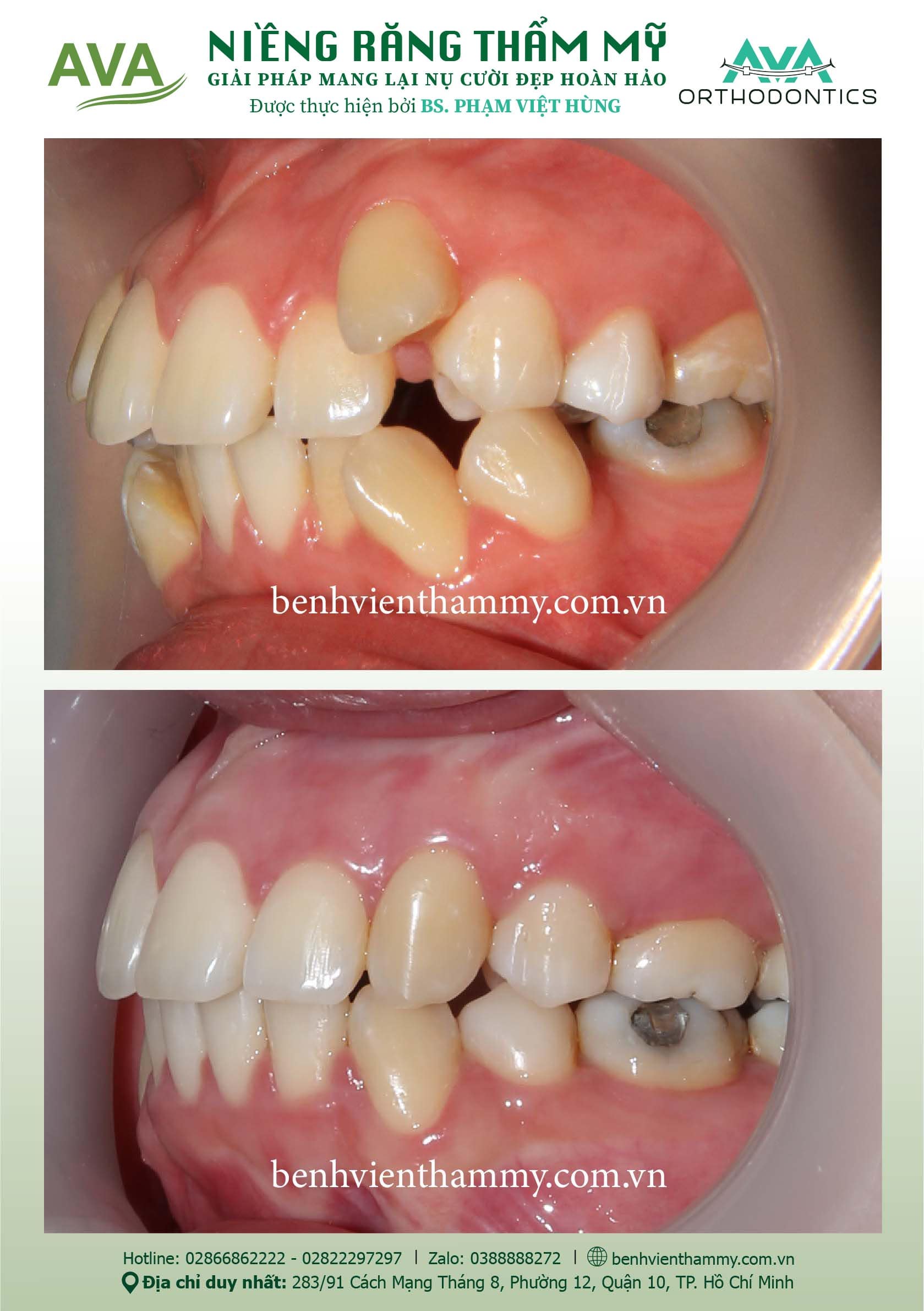
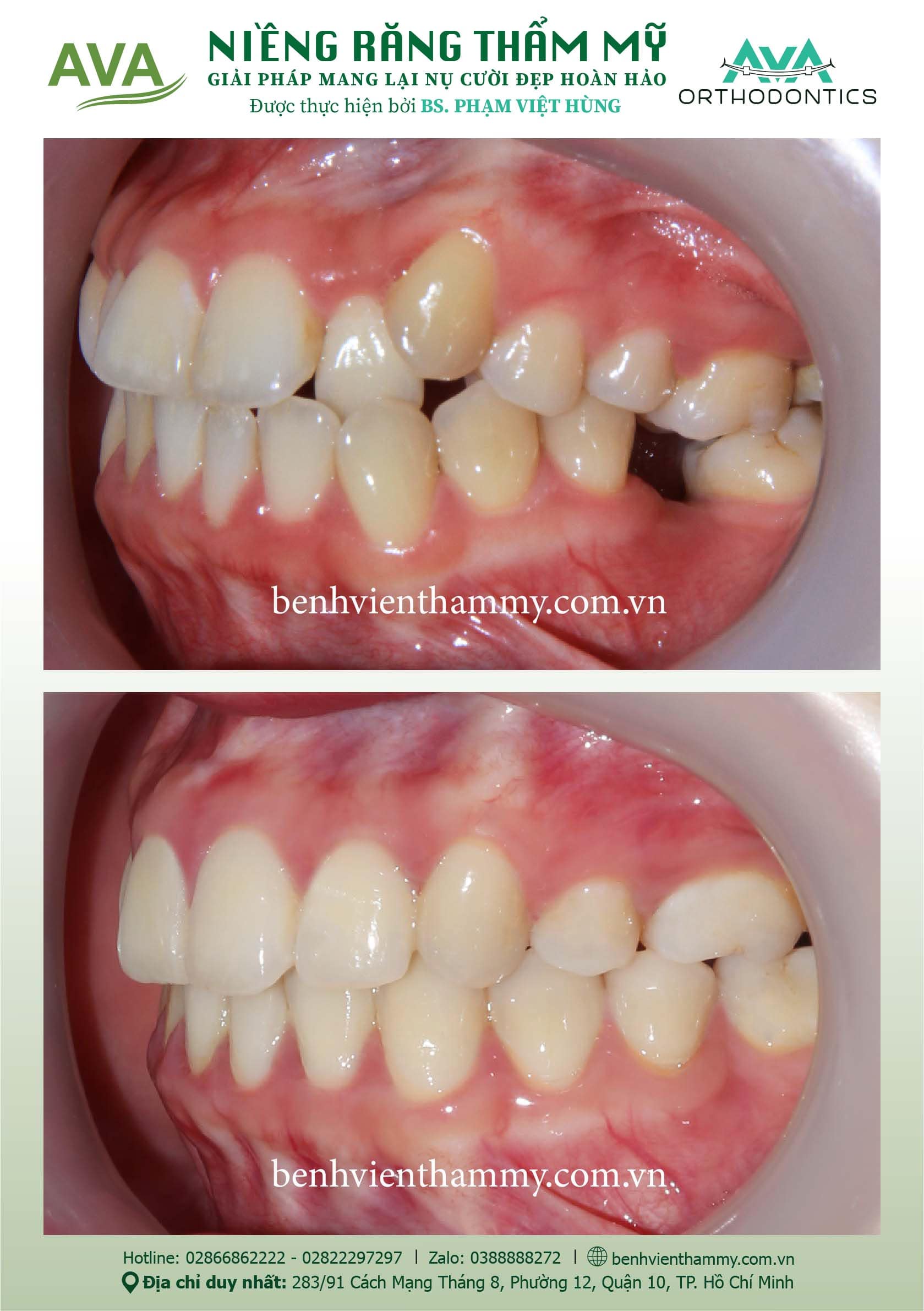
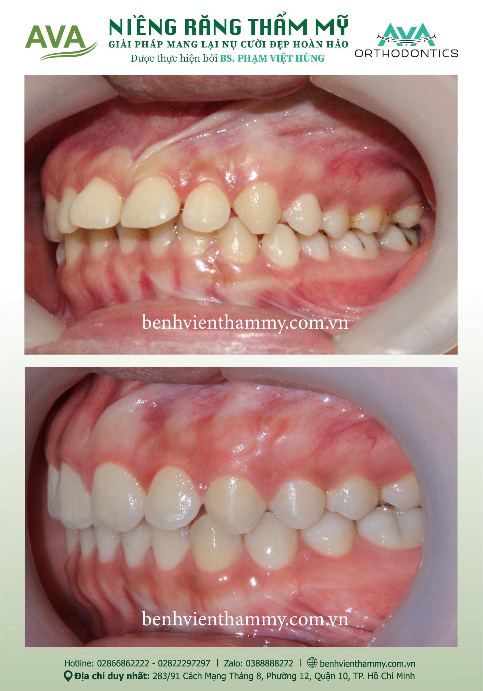
6. Hình ảnh trước và sau khi niềng răng hô tại AVA
- Rất nhiều khách hàng đã tự tin hơn sau khi khắc phục răng hô nhẹ tại Nha khoa AVA.











Kết luận
Chi phí niềng răng hô nhẹ không quá cao và hoàn toàn xứng đáng với giá trị bạn nhận được: một nụ cười đẹp, gương mặt hài hòa và sự tự tin trong giao tiếp.
Chụp phim và khám tư vấn miễn phí.
Địa chỉ duy nhất: 283/91 Cách Mạng Tháng 8, Phường Hòa Hưng (Phường 12 cũ), Quận 10, Tp.HCM
Để thuận tiện thời gian khám và điều trị Quý Khách vui lòng đặt hẹn qua Hotline: 02822066666 - 028 22297297 - 02866862222
Hoặc Zalo đặt lịch hẹn 0388888272
Website https://benhvienthammy.com.vn/
Facebook https://www.facebook.com/NhaKhoaAVA/?locale=vi_VN