Răng nanh ngầm - Có nên nhổ bỏ?

Răng nanh (gọi là răng số 3), được gọi là mọc ngầm khi nó có trong xương hàm nhưng không mọc ra ngoài xương hàm. Khi khám trên lâm sàng không thấy có răng số 3. Trong số các răng ngầm, răng nanh ngầm chiếm tỉ lệ cao thứ 2 sau các răng khôn, tỷ lệ trung bình có thể đến 2-3% dân số, thường gặp ở nữ hơn nam.

1.Các nguyên nhân nào làm cho răng nanh ngầm?

  • Nắn chỉnh răng nanh ngầm sau phẫu thuật bộc lộ.
  • Nguyên nhân làm răng nanh ngầm, mọc sai lệch hoặc mọc chậm rất phức tạp.
  • Nguyên nhân tiên phát: di truyền, nội tiết, phóng xạ, khe hở môi, mất hài hoà răng mặt, chậm hình thành chân răng, phát triển khác nhau giữa vùng tiền hàm và xương hàm trên.
  • Nguyên nhân thứ phát: mất hướng dẫn răng cửa bên (răng cửa bên kém phát triển hoặc thiếu), chấn thương, nhổ răng quá sớm, các răng bên cạnh di sang làm mất khoảng, mầm răng lạc chỗ, giảm kích thước gần xa của hố mũi...
  • Chẩn đoán răng nanh ngầm cần dựa vào lâm sàng và chụp X-quang. Khi khám trong miệng có thể thấy còn hoặc không còn răng nanh sữa nhưng không thấy răng nanh vĩnh viễn mặc dù các răng vĩnh viễn khác đã mọc, sờ có thể thấy phồng ở trong vòm miệng.
  • Thăm khám X-quang thông thường như cận chóp, Panorama, phim cắn, phim sọ nghiêng chụp theo kỹ thuật từ xa... rất cần thiết để đánh giá vị trí và trục của răng nanh trên so với mặt phẳng giữa và dọc giữa, giúp tiên lượng khả năng mọc và chỉnh nha, nếu như chân răng bị cong thì đây là một yếu tố không thuận lợi cho chỉnh nha.

2.Có nên nhổ bỏ răng nanh ngầm?

  • Răng nanh ngầm nếu không được điều trị có thể gây ra nhiều biến chứng như: dính khớp, mất nhiều khoảng, lệch đường giữa, tiêu răng bên cạnh, nang thân răng... Tuy nhiên, răng nanh có nhiều vai trò rất quan trọng trên cung răng nên ngoại trừ những trường hợp bất khả kháng không thể giữ lại được thì mới chỉ định nhổ bỏ còn những trường hợp khác nên điều trị bảo tồn kéo răng nanh ra ngoài, sắp xếp lại đúng vị trí của nó.
  • Điều trị răng nanh ngầm: bao gồm phẫu thuật bộc lộ răng ngầm và nắn chỉnh răng.
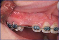
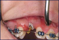
  • Phẫu thuật bộc lộ răng nanh ngầm: Được chỉ định trong các trường hợp răng ngầm hoặc chậm mọc, hoặc đang mọc lệch chỗ trong niêm mạc. Có rất nhiều kỹ thuật phẫu thuật như cắt lợi, vạt đặt lại tại chỗ phía tiền đình, vạt đẩy về phía cuống, vạt trượt sang hai bên... Do vậy lựa chọn kỹ thuật thích hợp với từng trường hợp một là bước quan trọng đầu tiên.
  • Chỉnh nha kéo răng ra ngoài và sắp xếp lại vị trí trên cung hàm:

Sau khi đã phẫu thuật bộc lộ răng, bước tiếp theo chúng ta cần phải nắn chỉnh răng. Mục tiêu của các bác sĩ chỉnh nha là làm cho răng mọc đúng trên cung răng và không làm co lợi viền. Chỉ tiến hành bộc lộ răng và làm thẳng hàng khi đã tạo đủ chỗ cho răng nanh mọc nghĩa là thường tiến hành ở cuối giai đoạn làm phẳng.

3.Các biến chứng có thể gặp khi điều trị răng nanh ngầm

  • Các biến chứng thường liên quan đến việc gắn mắc cài thất bại, nặng nề hơn là phải can thiệp lại, tụt lợi, mất xương, đôi khi có thể có hiện tượng tiêu thân răng, nội tiêu chân răng, tiêu các răng bên cạnh (răng cửa trung tâm và răng cửa bên) và dính khớp.
  • Răng nanh ngầm là một bất thường về mọc răng rất hay gặp, cần phải được chẩn đoán sớm. Do nó có nhiều vai trò quan trọng trong khớp cắn cũng như thẩm mỹ nên cần phải cố gắng bảo tồn nếu có thể. Trong quá trình điều trị cần kiểm soát chặt chẽ tình trạng nha chu để đảm bảo được chất lượng thẩm mỹ sau khi kéo răng.

ThS. Võ Trương Như Ngọc
(Trường đại học Răng hàm mặt)

logoavavanlangBệnh Viện Nha Khoa Thẩm Mỹ AVA
Địa chỉ : 290 Hai Bà Trưng - P.Tân Định - Q.1 - TP.HCM
Hotline : 0822.297.297