Niềng răng móm kèm răng chen chúc
Răng mọc chen chúc kèm răng móm là một tình trạng khuyết thiếu của hàm răng, nó làm ảnh hưởng tới chức năng ăn nhai và chức năng thẩm mỹ của khuôn miệng.

Tình trạng răng mọc chen chúc nhau thường làm cho khổ chủ cảm thấy khó chịu, mất tự tin và không thoải mái trong cuộc sống. Vì thế mà chất lượng cuộc sống cũng như chất lượng công việc bị giảm xuống.
Ngày nay, chỉnh nha cho trường hợp răng mọc chen chúc được xem như là một cứu cánh tuyệt với giúp các đối tượng bệnh nhân có tình trạng răng mọc chen chúc, xô lấn nhau thuyên giảm đáng kể cho một hàm răng đều đặn
Để điều trị triệt để tình trạng răng mọc xô lấn, chen chúc nhau bác sĩ nha khoa và bệnh nhân thường ưu tiên hàng đầu cho các phương pháp chỉnh nha bởi những ưu điểm và hiệu quả sau cùng mà nó mang lại. Đối với những trường hợp có tình trạng răng mọc chen chúc nặng bây giờ đã không còn là vấn đề nan giải nữa.
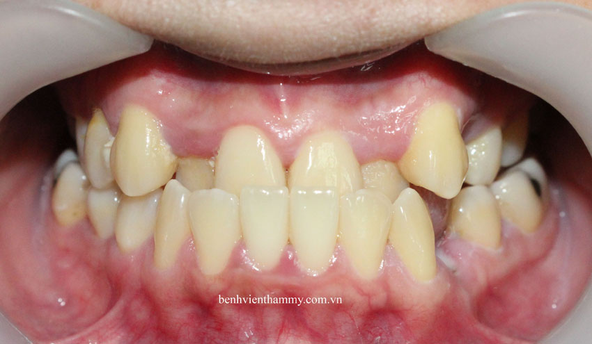
Case lâm sàng tiêu biểu cho điều trị lệch lạc nặng kèm răng móm được điều trị tại AVA:
(Hình ảnh trước điều trị cho thấy tình trạng răng móm kèm răng chen chúc khá trầm trọng)
(Tình trạng cải thiện rất nhiều sau 24 tháng điều trị)

Chỉnh nha không đơn thuần chỉ là một phương pháp điều chỉnh, sắp xếp lại các răng trên khung hàm mà hiệu quả mà nó đạt được còn hơn thế nữa.
