Tại sao trẻ cần được điều trị chỉnh hình răng mặt sớm (Phần 3)
Các loại hình điều trị Chỉnh Hình Răng Mặt ở trẻ em
Thông thường có 2 hình thức điều trị chỉnh hình răng mặt ở trẻ là cố định hay tháo lắp, hoặc kết hợp cả hai loại.
a) Chỉnh Hình Răng Mặt tháo lắp:
- Là loại khí cụ là loại mà tự trẻ có thể tự tháo ra và lắp vào miệng dễ dàng theo ý muốn.
Trẻ sẽ tự mang hàm mỗi ngày và có thể phải cả khi ngủ. Bác sĩ điều trị sẽ hướng dẫn cách mang và thời gian mang mỗi ngày.
- Hàm thường được sử dụng để di chuyển, điều chỉnh một răng hay một nhóm răng . Khí cụ chỉnh nha tháo lắp có nhiều rất nhiều loại hình thức và tác dụng khác nhau, do Bác sĩ CHRM chỉ định, thiết kế và thực hiện.
- Thuận lợi của loại khí cụ này là trẻ có thể tháo ra theo ý muốn nên dễ được chấp nhận và trẻ có thể ăn và uống những món mà mình ưa thích trong quá trình điều trị. Hàm tháo lắp có ưu điểm là thực hiện nhanh, rẻ tiền, và thoải mái cho bệnh nhân khi cần tháo ra nhất là khi ăn.
Tuy nhiên bất lợi của loại khí cụ này là dễ bị hư hỏng, dễ bị mất, kết quả điều trị phụ thuộc nhiều vào thái độ hợp tác của trẻ vì chỉ có tác dụng khi mang vào miệng. Nếu trẻ không tự giác mang hàm thường xuyên liên tục, kết quả điều trị sẽ bị hạn chế. Khí cụ này không điều chỉnh được những lệch lạc răng phức tạp, do những bất lợi này, khí cụ tháo lắp thường được sử dụng trong giai đoạn đầu của quá trình điều trị và sau thường được thay thế bằng khí cụ cố định.
![]() |
![]() |
![]() |
![]() |
![]() |
![]() |
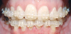
b) Chỉnh Hình Răng Mặt cố định :
- Khí cụ cố định thường bao gồm các mắc cài , dây cung và khâu được gắn chặt lên răng lúc bắt đầu điều trị và chỉ được tháo ra khi hoàn tất điều trị, bệnh nhân không cần phải thao tác gì cả.
![]() |
![]() |
![]() |
![]() |
![]() |
![]() |
![]() |
![]() |
Các mắc cài nếu bằng kim loại thì sẽ có màu kém thẩm mỹ nhưng hiện nay đã có một số loại mắc cài thẩm mỹ làm bằng mắc cài sứ, composite, hoặc đá. có màu như men răng nên khi mang sẽ đẹp hơn. Các loại thun đàn hồi có nhiều màu sắc được gắn vào mắc cài để giữ dây cung vào các mắc cài và khâu, đồng thời tạo lực trên dây cung và răng.
Khí cụ này được gắn chặt lên răng và có rất nhiều ưu điểm: điều trị cho hiệu quả tốt đối với những trường hợp răng lệch lạc phức tạp, kết quả điều trị ít phụ thuộc vào bệnh nhân. Tuy nhiên nhược điểm của điều trị bằng khí cụ cố định là chi phí khá cao.
ThS BS Nguyễn Quốc Dũng
Phó Trưởng Khoa Răng Hàm Mặt













