CHỈNH NHA HIỆN ĐẠI: HẠN CHẾ NHỔ RĂNG
CHỈNH NHA HIỆN ĐẠI: HẠN CHẾ NHỔ RĂNG
Nếu cách đây vài năm, răng mọc chen chúc thường được chỉ định "nhổ bớt" vì nghĩ rằng không còn chỗ để xếp răng thì hiện nay, quan điểm này đã hoàn toàn khác. Bằng những thủ thuật chỉnh nha hiện đại, bác sĩ sẽ giúp bạn xắp sếp lại số lượng răng mà không phải nhổ đi quá nhiều răng thật.
![]() |
|
![]() |
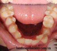
Ảnh minh hoạ: ca thực hiện chỉnh răng mọc lệch không nhổ thành công cho bệnh nhi tại Nha khoa thẩm mỹ AVA
Việc hạn chế nhổ răng phụ thuộc rất nhiều vào chuyên môn và tay nghề của bác sĩ. Song song đó là sự hợp tác chặt chẽ giữa bác sĩ và bệnh nhân trong quá trình điều trị để có kết quả mỹ mãn.
Nhổ răng hay không nhổ răng trong điều trị chỉnh nha vẫn còn là một chủ đề gây nhiều bàn cãi giữa các bác sĩ chỉnh nha. Tuy vậy,với kỹ thuật sử dụng lực nhẹ để tạo xương và mô mềm cùng lúc với di chuyển răng ngày nay,việc ngăn ngừa thói quen xấu sớm của các bậc cha mẹ dành cho con cái của mình thì nguy cơ lệch lạc răng trầm trọn ít đi đồng nghĩa với việc tỉ lệ nhổ răng trong chỉnh nha ngày càng ít đi,chỉ còn 20% tổng số ca chỉnh nha (trước đây là 80%). Trẻ em có tỉ lệ nhổ răng ít hơn nhiều so với người lớn.Đây là kỹ thuật dùng dây thẳng lực ma sát thấp mang lại hiệu quả điều trị cao và giảm thời gian điều trị cho bệnh nhân.
Trường hợp bệnh nhân người lớn - Răng mọc chen chúc niềng răng không nhổ răng:

(Hình ảnh trước điều trị)
(Niềng răng với mắc cài sứ thẩm mỹ)


(Thực hiện bởi bác sĩ chuyên khoa cấp I chỉnh hình răng hàm mặt-Phạm Việt Hùng-nha khoa thẩm mỹ AVA)
benhvienthammy.com.vn

