Niềng răng chen chúc
Răng chen chúc (crowding) là tình trạng thường gặp nhất, chiếm tỉ lệ cao nhất trong rối loạn khớp cắn. Điều may mắn là ngày nay, điều trị răng chen chúc ít khi phải nhổ răng.
Tình trạng răng mọc chen chúc gia tăng rất cao trong thời đại ngày nay. Có rất nhiều nguyên nhân dẫn đến tình trạng răng mọc chen chúc, nhưng tóm lại đa phần chúng ta đang tiến hóa thoái bộ trên bộ răng vì chúng ta ăn thức ăn tinh chế mềm- kém hoạt động cơ nhai nhất là trong thời đại ngày nay việc chế độ ăn uống và cách ăn cũng như việc chăm sóc là điều nên làm và cần thiết. nhằm giúp chúng ta có một hàm răng đẹp hơn tốt hơn
Khi khắc phục tình trạng răng chen chúc chúng ta có thể chọn giải pháp tối ưu là niềng răng sẽ giúp chúng ta có hàm răng đều đặn.
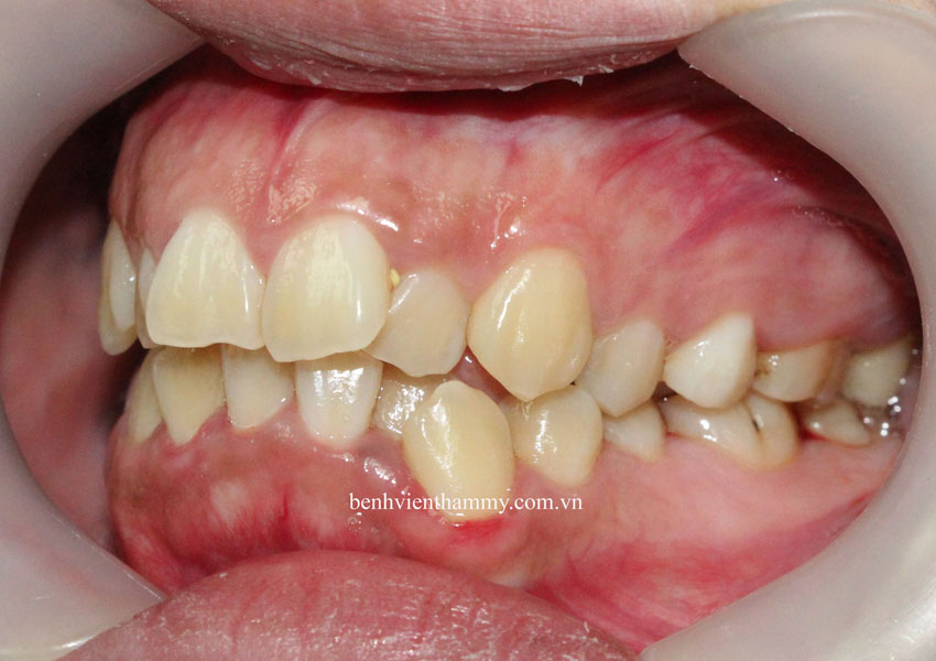
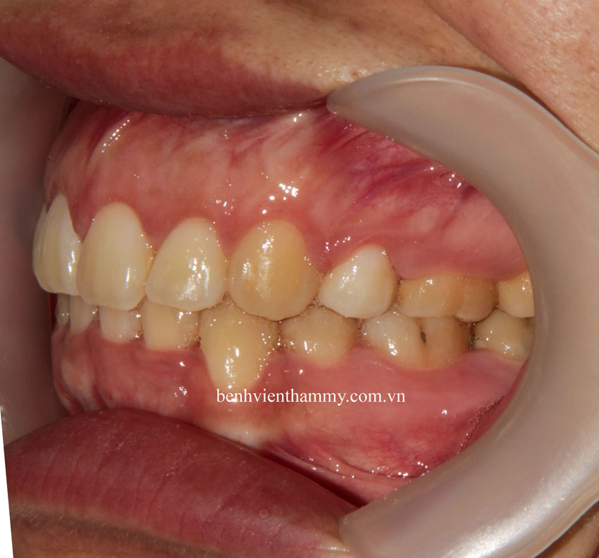
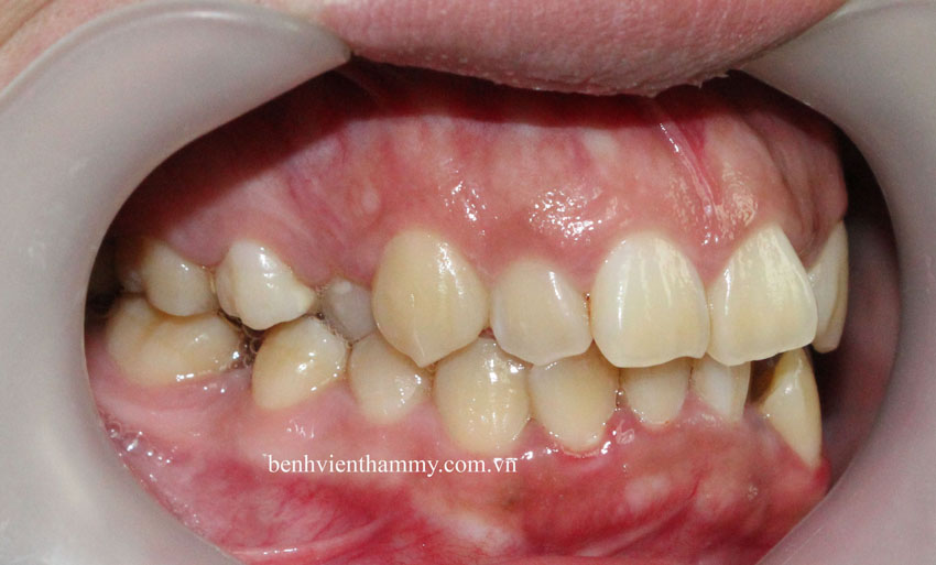
Case lâm sàng tiêu biểu minh họa cho niềng răng chen chúc tạ AVA:Bệnh nhân niềng răng có nhổ răng 14-24-34-44

(Hình ảnh trước điều trị)

Bằng những thủ thuật chỉnh nha hiện đại, bác sĩ sẽ giúp bạn xắp sếp lại số lượng răng mà không phải nhổ răng hay lấy đi quá nhiều răng thật.Điều này hoàn toàn có thể được khi bác sĩ phân tích đúng tình trạng của bệnh nhân và đưa ra kế hoạch điều trị hợp lý.
(Thực hiện bởi bác sĩ chuyên khoa cấp I chỉnh hình răng hàm mặt-Phạm Việt Hùng-nha khoa thẩm mỹ AVA)
benhvienthammy.com.vn
