Chỉnh hình răng mặt sớm ở trẻ em.
Trong bài viết "Giới thiệu về chỉnh hình răng mặt ở trẻ em" đăng ngày 29/3/2007, chúng tôi đã trao đổi với Thạc sĩ Bác sĩ Nguyễn Quốc Dũng – Phó Trưởng khoa Răng Hàm Mặt Bệnh viện Nhi Đồng 1 về những nét chính trong chỉnh hình răng mặt cho trẻ em. Trong bài viết lần này, Bác sĩ Nguyễn Quốc Dũng sẽ cho biết chi tiết hơn về những điều cần lưu ý khi thực hiện chỉnh hình răng mặt sớm cho trẻ
1 ) Tại sao cần điều trị chỉnh hình răng mặt sớm ?
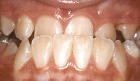
![]() |
![]() |
|
Trước chỉnh hình |
Sau chỉnh hình |
Việc điều trị chỉnh hình răng mặt sớm sẽ:
- Giúp xương hàm phát triển hài hòa với khuôn mặt thẩm mỹ hơn.
- Giúp hài hòa khớp cắn giữ a hai xương hàm.
- Giúp răng mọc đúng vị trí.
- Hạn chế chấn thương các răng nhô ra phía trước.
- Sắp xếp các răng ngay ngắn lại sớm.
- Sắp xếp các răng ngay lại mà không cần nhổ răng bằng cách nới rộng xương hàm.
- Sữa chữa và loại bỏ được những thói quen xấu như tật mút tay, đẩy lưỡi.
- Làm giảm bớt hoặc loại bỏ một số vấn đề ảnh hưởng đến sự nuốt và phát âm.
- Giảm được thời gian điều trị nếu bệnh nhân được điều trị chỉnh hình răng mặt sớm.
- Ít gây đau đớn và khó chịu cho bệnh nhân.
- Bệnh nhân được điều trị chỉnh hình răng mặt sớm sẽ dễ dàng hợp tác hơn.
- Chi phí điều trị sẽ ít tốn kém hơn.
2) Có cần nhổ răng trong lúc điều trị chỉnh hình răng mặt không?
- Không bắt buộc phải nhổ răng trong tất cả các trường hợp cần điều trị chỉnh hình răng mặt. Việc nhổ răng chỉ thực hiện khi cần tạo chỗ trống cho việc sắp xếp các răng ngay ngắn lại trên cung hàm. Có những bệnh nhân có sẵn những khoảng trống giữa các răng , lúc đó không cần phải nhổ răng hoặc khi điều trị chỉnh hình răng mặt sớm có thể nới rộng xương hàm nên trong những trường hợp này có thể chỉnh hình mà không cần nhổ răng.
3) Một số vấn đề cần chú ý trong khi điều trị chỉnh hình răng mặt :
- Chỉnh hình răng mặt có nhiệm vụ tái tạo lại thẩm mỹ và chức năng cho bệnh nhân. Muốn vậy, người ta phải sắp xếp các răng lệch lạc cho ngay ngắn lại và ăn khớp đều đặn với nhau. Kết quả điều trị cần có một chẩn đoán đúng đắn về những lệch lạc của khớp cắn và thái độ hợp tác của bệnh nhân.
Sự hợp tác chặt chẽ giữa cha mẹ và trẻ được chỉnh hình là rất cần thiết để đạt kết quả tốt. Muốn vậy cần :
- Luôn tái khám đúng lịch hẹn của bác sĩ chỉnh hình răng mặt để theo dõi và chỉnh khí cụ chỉnh hình.
Cần giữ gìn vệ sinh răng miệng kỹ lưỡng, đặc biệt khi điều trị bằng các khí cụ cố định để phòng ngừa sâu răng, viêm nướu và hôi miệng nếu không vệ sinh răng miệng tốt.
Không nên chơi những môn thể thao như đá banh, khúc côn cầu hoặc chơi những trò chơi có thể gây chấn thương vùng mặt hoặc làm chấn thương răng.
- Nghiêm túc mang những khí cụ tháo lắp như dây thun, băng đầu, khí cụ duy trì đúng theo sự hướng dẫn của bác sĩ chỉnh hình răng mặt.
- Chịu đựng và chấp nhận một ít sự khó chịu về phát âm khi mang các khí cụ điều trị chỉnh hình răng mặt, nhất là khí cụ tháo lắp hoặc có thể bệnh nhân bị đau trong một hai tuần lễ đầu.
- Cần nghe theo lời dặn của bác sĩ chỉnh hình răng mặt trong việc ăn uống như không được ăn những thức ăn cứng như đá cục, kẹo, hạt đậu, bánh mì cứng hay những thức ăn dính. Không được cắn bút hay viết chì sẽ làm hư sút các mắc cài chỉnh hình và sẽ làm kết quả điều trị lâu hơn.
Ths BS Nguyễn Quốc Dũng
Phó Trưởng Khoa Răng Hàm Mặt BV Nhi Đồng 1



