Niềng răng thưa thẩm mỹ
Niềng răng thưa giúp người thực hiện khắc phục được khuyết điểm răng thưa gây mất thẩm mỹ giúp họ sở hữu một hàm răng đều đặn, hoàn hảo hơn. Bên cạnh đó còn hạn chế được những căn bệnh răng miệng thường gặp tránh ảnh hưởng xấu đến sức khoẻ.
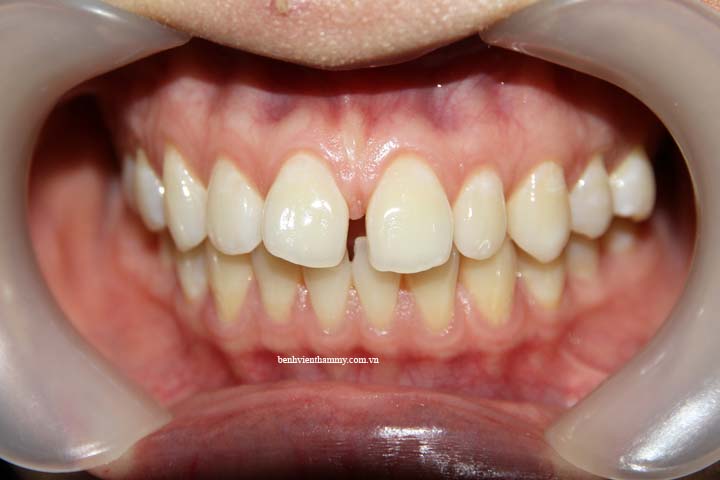
Răng thưa là gì?
(Hình ảnh trước điều trị)
Răng thưa là tình trạng các khe hở giữa răng lớn, xảy ra khi có hiện tượng di răng – hậu quả của việc mất răng, răng quá nhỏ so với cung hàm, do bẩm sinh cũng có thể do thói quen dùng tăm xỉa răng. Răng thưa gây mất thẩm mỹ làm người bệnh mất tự tin khi giao tiếp hằng ngày. Ngoài ra còn là nguyên nhân từ thắng môi bám thấp,do răng dư kẽ giữa do khe hở lớn khiến thức ăn dễ bị mắc vào gây ra. Hiện nay niềng răng thưa được xem như một giải pháp tối ưu giúp khắc phục hiệu quả khuyết điểm răng này.
niềng răng thưa
Kỹ thuật niềng răng thưa hiệu quả cao

(HÌnh ảnh điều trị vơi` mắc cài kim loại sau 12 tháng)
Niềng răng thưa là kỹ thuật chỉnh nha hiện đại, sử dụng lực kéo hình thành từ các mắc cài trên răng hoặc khí cụ nha khoa để nắn chỉnh, dịch chuyển các răng về vị trí thích hợp, sát khít với nhau che lấp các khoảng hở. Hiện nay có nhiều phương pháp niềng răng thưa đa dạng với những ưu, nhược điểm riêng để mọi người lựa chọn tuỳ theo sở thích, nhu cầu và mức chi phí như: niềng răng mắc cài sứ, mắc cài kim loại, mắc cài tự đóng, niềng răng không mắc cài invisalign…

(Sau điều trị-14 tháng)
Thời gian niềng răng thưa thông thường kéo dài từ 1-2 năm và có sự chênh lệch tuỳ theo tình trạng cụ thể và sự tiến triển của răng trong suốt quá trình điều trị. Theo đó, ở mỗi giai đoạn các bác sĩ sẽ có sự điều chỉnh lực kéo phù hợp để đạt được kết quả cao nhất cho việc niềng răng thưa. Niềng răng thưa được xem là giải pháp tối ưu giúp khắc phục, thay đổi bản chất tình trạng răng bị thưa, giúp các răng khít sát lại với nhau, đem lại hiệu quả thẩm mỹ và hạn chế tối đa nguy cơ gây ra các bệnh lý răng miệng thông thường. Thêm vào đó, kết quả niềng răng được duy trì suốt đời mà không cần phải tái khám hay thực hiện điều trị lại, bạn sẽ tiết kiệm được chi phí và thời gian tối đa.
Lợi ích khi niềng răng thưa
Khi niềng răng thưa sẽ giải quyết được những khoảng trống giữa các răng, thức ăn không bị bám vào các khe hở, không phát sinh vi khuẩn gây hại cho răng. Điều đó có ảnh hưởng rất lớn, giúp ngăn chặn hiệu quả những vấn đề răng miệng thông thường.
Niềng răng thưa giúp điều chỉnh lại khớp cắn, không bị sai lệch, cải thiện chức năng ăn nhai của toàn hàm tránh gây tổn thương hàm, rối loạn khớp thái dương hàm.
Người bệnh có thể phát âm chuẩn hơn sau khi niềng răng thưa.
Niềng răng thưa mang lại nhiều lợi ích
Bên cạnh đó, niềng răng thưa đem lại giá trị thẩm mỹ cao cho người thực hiện, giúp họ tự tin hơn khi giao tiếp khi sở hữu một hàm răng đều đặn.
Kết quả niềng răng thưa được duy trì lâu dài cho người thực hiện.
Hình ảnh lâm sàng được điều trị tại Nha khoa Thẩm mỹ AVA
