Thời gian niềng răng móm
Niềng răng là giải pháp được áp dụng cho trường hợp răng bị mọc lệch, thưa hoặc hô móm nhẹ. Hiện nay có rất nhiều phương pháp niềng răng để lựa chọn tùy thuộc vào tình trạng răng miệng, mong muốn và “túi tiền” của bệnh nhân.

Vấn đề thời gian niềng răng hô móm mất bao lâu có lẽ là điều mà nhiều người quan tâm nhất. Thực chất thời gian niềng răng còn phụ thuộc vào rất nhiều yếu tố
Thời gian niềng răng cho trẻ em thường nhanh hơn so với người lớn, do xương hàm còn đang trong giai đoạn phát triển nên việc nắn chỉnh dễ dàng hơn.
và nhất là tình trạng lệch lạc răng liên quan đến răng thì thời gian nhanh hơn rất nhiều so với tình trạng lệch lạc do xương hàm
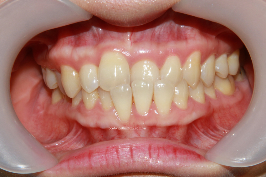
case lâm sàng minh họa cho lệch lạc răng và cắn chéo răng trước (móm) thời gian niềng mất khoảng 12 tháng-niềng răng không nhổ răng :

(Hình ảnh bệnh nhân trước điều trị)
(hình ảnh kết thúc điều trị sau 12 tháng)
Thời gian chỉnh nha tùy thuộc vào rất nhiều yếu tố như độ phức tạp, mong muốn của bệnh nhân, độ tuổi của bệnh nhân, và những điều trị kèm theo (nếu có), v.v…
Thông thường thời gian chỉnh nha tại Nha khoa AVA cho những trường hợp không nhổ răng là khoảng 14-16 tháng, trường hợp có nhổ răng thì khoảng 24 tháng là đủ để có một nụ cười đẹp.
