Những lệch lạc răng mặt ở trẻ em cần điều trị chỉnh hình răng hàm mặt sớm cho trẻ (Phần 1)
Có nhiều bậc cha mẹ đưa con em mình đến khoa Răng hàm mặt tại các bệnh viện để khám vì lý do răng trẻ mọc chen chúc, mọc lệch lạc và các bậc phụ huynh thường phân vân lo lắng không biết có nên đi nắn chỉnh răng cho con mình khi trẻ chưa thay hết răng sữa hay không, liệu có thể bắt đầu việc điều trị chỉnh nha cho trẻ khi trẻ chưa có đủ các răng vĩnh viễn hay là phải đợi đến khi trẻ thay hoàn toàn các răng sữa?
Trong bài viết lần này, Thạc sĩ Bác sĩ Nguyễn Quốc Dũng sẽ cho biết chi tiết hơn về những lệch lạc răng mặt thường gặp ở trẻ em để các bậc phụ huynh có thể phát hiện và cho trẻ đến bác sĩ chuyên về chỉnh hình răng mặt để khám, chẩn đoán và cho chỉ định điều trị sớm những trường hợp cần được chỉnh hình răng hàm mặt sớm cho trẻ.
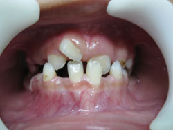
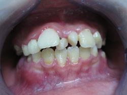
Những bất thường của hàm răng trẻ cần được đi đến Bác sĩ chuyên về chỉnh hình răng mặt để khắc phục ví dụ hàm trên hay các răng cửa hàm trên nhô ra nhiều ; cung răng bị hẹp ,các răng trẻ mọc khít sát nhau quá, chen chúc lẫn nhau; răng cửa nghiêng ra ngoài đến mức đẩy môi trên ra trẻ không thể ngậm kín miệng được; răng cửa dưới phủ ngoài răng cửa trên ; khi trẻ ngậm miệng, cắn chặt răng có một khoảng hở giữa các răng cửa trên và răng cửa dưới.
Việc đến khám Bác sĩ chuyên về chỉnh hình răng mặt không có nghĩa là tất cả những đứa trẻ cần phải điều trị nhưng để bác sĩ chỉnh hình răng mặt đánh giá ,phát hiện được một số trường hợp cần được chỉnh hình răng hàm mặt sớm cho trẻ nhằm ngăn ngừa các rối loạn trầm trọng và giúp cho việc điều trị sau này nhanh hơn và ít phức tạp hơn. Không cần phải chờ tới lúc trẻ rụng hết răng sữa vì lúc đó có thể dẫn đến hậu quả lệch lạc răng trầm trọng hơn.
Điều trị sớm sẽ giúp tiết kiệm được kinh phí và mang lại cơ hội để chỉnh hình những trẻ có lệch lạc trầm trọng về xương, nếu để đến thời điểm trẻ đã lớn, sẽ không thể điều trị được bằng chỉnh nha đơn thuần, mà phải dùng phương pháp chỉnh hình phẫu thuật phức tạp và tốn kém để có được một kết quả hoàn hảo.
Nhìn chung, thời điểm tốt nhất để điều trị chỉnh hình răng hàm mặt là khi các răng vĩnh viễn đã mọc (10-12 tuổi). Ở lứa tuổi này, xương hàm đang phát triển, rất thuận lợi cho việc nới rộng và sắp xếp lại các răng.
![]() |
![]() |
![]() |
![]() |
![]() |
![]() |
![]() |
![]() |
![]() |
![]() |
![]() |
![]() |
![]() |
![]() |
![]() |
![]() |
Những lệch lạc răng mặt nào thường gặp ở trẻ em nhất?
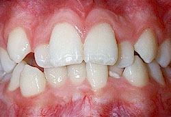
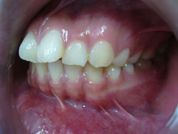
*Hô răng hàm trên, hô hàm trên:
- Hô răng hàm trên và hô hàm trên là một lệch lạc khá phổ biến, làm cho khuôn mặt không thẩm mỹ.
Hô răng hàm trên là tình trạng răng cửa hàm trên trên nghiêng nhiều ra trước, trong khi xương hàm trên vẫn bình thường theo tương quan chiều trước sau.
Hô Hàm trên là tình trạng hàm trên nhô quá về phía trước, hoặc hàm dưới lùi quá về phía sau
![]() |
![]() |
![]() |
![]() |
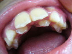
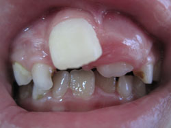
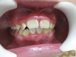
- *Răng mọc chen chúc:
- Răng mọc chen chúc là tình trạng các răng sắp xếp lộn xộn, không ngay ngắn trên cung hàm , răng mọc không đều, các răng khấp khểnh do thiếu chỗ (răng quá to hay xương hàm cung răng quá nhỏ không đủ chỗ để các răng sắp xếp).
Ths Bs NGUYỄN QUỐC DŨNG
Phó Trưởng Khoa RHM - BV Nhi Đồng 1



















