Chỉnh răng thẩm mỹ răng hô kèm cắn sâu
Sai khớp cắn hạng II( Răng hô), đặc biệt là răng cửa hàm trên hô ra trước, có thể làm gia tăng khả năng xảy ra chấn thương răng. Có khoảng 1/3 nguy cơ để một đứa trẻ có khớp cắn hạng II chưa điều trị sẽ bị chấn thương răng cửa hàm trên, nhưng trong hầu hết trường hợp, hậu quả chỉ là những chỗ sứt mẻ nhỏ trên men gây ra vết nứt trên răng và/hoặc làm giảm sự sống của tủy. Vì lý do này, việc giảm nguy cơ chấn thương khi răng cửa chìa ra trước không phải là chủ đề tranh luận chính trong chỉnh hình can thiệp sai khớp cắn hạng II. Cắn sâu quá mức, trong trường hợp răng cửa dưới chạm khẩu cái, có thể gây phá hủy mô đáng kể, dẫn đến mất răng cửa hàm trên ở một vài bệnh nhân. Mòn quá mức ở răng cửa cũng xuất hiện trên một số bệnh nhân cắn sâu.
Do vậy Chỉnh hình răng hô không chỉ đơn thuần điều trị vì lý do thẩm mỹ mà còn làm giảm nguy cơ tổn hại i và làm tăng chức năng ăn nhai của hệ thống nhai.
Xin giới thiệu trường hợp khắc phục thẩm mỹ và chức năng nhai ở bệnh nhân răng hô kèm cắn sâu:
+Bệnh nhân nữ 22 tuổi
+ Niềng răng có nhổ răng 14
+Niềng răng với mắc cài kim loại -hỗ trợ mini screws
+Thời gian điều trị 24 tháng


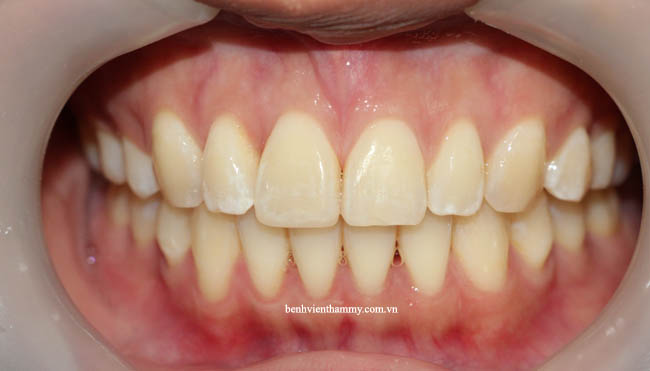
(Trước điều trị)


(Sau điều trị 20 thang)
Nếu bạn cảm thấy tươi trẻ, bạn sẽ luôn thấy cuộc sống tốt đẹp! Cũng như vậy, nếu bạn muốn có một nụ cười đẹp để luôn cảm thấy tươi trẻ, thì chỉnh nha là điều bạn có thể suy nghĩ!
(Thực hiện bởi bác sĩ Chuyên khoa cấp I chỉnh hình răng Phạm Việt Hùng-nha khoa AVA)
benhvienthammy.com.vn