Răng nhiễm sắc tố vàng, nâu hay đen. Cách chữa trị.

rang-nga-mau-28Màu răng bình thường là do di truyền, anh em thường co màu răng giống nhau do sắc tố có di truyền từ cha mẹ, giống như màu tóc màu da. Người da trắng và da vàng có màu răng vàng sậm (dark yellow) hơn người da đen , dân da đen thường có màu răng trắng sáng hơn (light yellow). Màu của răng cũng là màu của ngà, vì men răng chỉ có màu màu xám và trong.

 

 

Do màu của răng xuất phát từ ngà bên trong nên muốn thay đổi màu răng, tẩy trắng răng rất khó vì thuốc hay hóa chất phải ngấm qua lớp men mới vào đuợc lớp ngà. Nếu có làm trắng được răng thì theo thời gian màu răng cũng sẽ vàng trở lại như cũ

* Các nguyên nhân làm răng bị vàng hay nâu sậm:

- Do bẫm sinh:răng có màu vàng sậm từ nhỏ, răng bị khuyết men, ngà răng lộ ra có màu vàng sậm

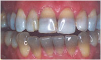
- Do nhiễm sắc tố từ bên trong: thuốc kháng sinh tetracycline, lúc đứa bé còn nhỏ (6-9 tuổi) và đang trong thời kỳ răng vĩnh viễn mọc , sắc tố màu vàng nâu của thuốc sẽ ngấm vào xương và ngà răng làm cho răng bị vàng và ngả sang màu nâu đen vĩnh viễn. Xương toàn thân của bé cũng bị nhiễm sắc tố vàng nhưng xương bên trong không thấy được chỉ có ngà răng bị vàng là lộ ra

- Răng nhiễm màu vàng từ bên ngoài: màu vàng đen do khói thuốc lá, trà và cà phê.Màu vàng do nước uống là nước giếng có nhiều phèn là oxýt sắt và oxýt nhôm

- Răng chết tủy lâu ngày có màu nâu sậm hoặc đen, do máu đọng lại trong ống ngà, hồng cầu có chất sắt bị hủy và bị oxid hoá có màu nâu đen.

- Răng thiểu sản men bẩm sinh (Dentino imperfecta), không có lớp men che chở, ngà bên trong bị nhuộm vàng nâu, khuyết và sù sì

- Răng bị nhiễm fluor nặng , men răng cũng bị khuyết và có màu nâu

* Cách chữa trị: Khám răng định kỳ để cạo vôi răng và đánh bóng bằng bột nhám sẽ tẩy được những chất màu (stain) bám bên ngoài răng.

Đối với màu vàng có từ bên trong ngà răng, nếu bị nhiễm nhẹ có thể tẩy trắng răng bằng gel peroxide (H2O2). Nhưng nếu nhiễm nặng chỉ có thể trám đấp mặt thẩm mỹ bằng composite quang trùng hợp, nhưng trám thẩm mỹ chỉ là phương pháp chữa cháy. Trám đấp thẩm mỹ sẽ làm mặt răng cửa bị dầy lên và màu sắc có trắng hơn nhưng vẫn không có màu tự nhiên vì có màu đục và xám.

Làm mão răng sứ chụp lại là biện pháp tốt nhất để có được màu sắc đẹp và tự nhiên như răng thật. Làm răng sứ tốn kém hơn phương pháp trám đấp mặt, nhưng đây là cách tối ưu để có dược màu răng đẹp và vĩnh viễn.

Để biết thêm chi tiết xin liên hệ Bệnh viện thẩm mỹ nha khoa AVA