Có cách nào thay thế răng mất mà không cần làm cầu Răng?


 

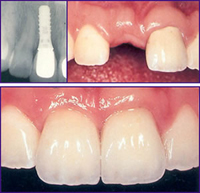
  • Có. Cấy ghép Răng (Dental Implant) là một phương thức thay thế Răng mất cho phép tạo các Răng giả có bản chất giống như Răng thật.

Implant cũng được dùng để mang các mão Răng, cầu Răng hoặc lưu giữ hàm giả bán phần hoặc toàn bộ.

  • Tuy nhiên, Implant không phải phù hợp đối với tất cả mọi người vì nó đòi hỏi một hoặc nhiều lần phẫu thuật, bệnh nhân cần có sức khoẻ tốt, nướu lành mạnh và mô xương đầy đủ để nâng đỡ Implant.
  • Ngoài ra, khi Cấy ghép Răng (Dental Implant) bệnh nhân cần phải giữ vệ sinh kỹ lưỡng và thường xuyên thực hiện lịch tái khám của BS.
  • Nếu Bạn quan tâm đến Implant , hãy tìm một BS chuyên gia về Cấy ghép Răng (Dental Implant) để được tư vấn xem liệu Bạn có đủ điều kiện để Cấy ghép Răng (Dental Implant) hay không?