Răng nhiễm Tetracycline - Nguyên nhân và cách khắc phục
T
etracycline là một loại kháng sinh. Ngày nay còn có Doxycycline, Minocycline... là các thuốc kháng sinh cùng nhóm với Tetracycline.
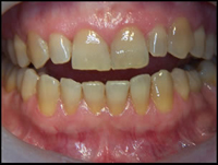
- Nếu người mẹ uống các thuốc này khi đang mang thai hoặc trẻ uống các thuốc này trước 7-8 tuổi thì có thể làm răng đổi màu. Mức độ sậm màu răng tùy thuộc vào thời điểm, thời gian dùng thuốc, liều lượng và loại thuốc. Màu răng có thể trở nên vàng, nâu hay xám xanh.
Sự thay đổi màu này có thể xảy ra trên toàn bộ răng hay chỉ ở một vùng nào đó, làm răng có những dải màu khác nhau.
Trong trường hợp nặng, răng còn có thể bị lỗ chỗ, khiếm khuyết, mất đi hình dạng bình thường.
- Việt Nam là nước có nhiều bệnh nhân có răng đổi màu do nhiễm Tétracycline, hậu quả của những khó khăn trong thời kỳ chiến tranh khi mà người thầy thuốc không có nhiều chọn lựa chủng loại kháng sinh cho bệnh nhân.
Răng nhiễm fluo:
- Fluo là một chất hóa học có thể có trong tự nhiên (ví dụ trong nước giếng), vì có khả năng chống sâu răng nên thường được cho thêm vào nước máy, sữa, kem đánh răng...
Nếu phụ nữ mang thai hay trẻ em nuốt phải fluo quá nhiều từ các nguồn nói trên, răng sẽ có những vết nâu hay trắng đục. Trường hợp nặng có thể gây khiếm khuyết cấu trúc răng.
- Ngoài ra, một số bệnh lý khác của răng hay của máu cũng có thể làm thay đổi màu răng (ví dụ sinh men bất toàn, không phù hợp yếu tố Rhesus giữa mẹ và con...).
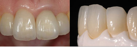
Đối với những sậm màu nhẹ ta có thể dùng phương pháp tẩy trắng răng, nhưng cũng có khi răng bị nhiễm màu rất nặng hoặc có đi kèm với khuyết tật ở những men răng, lúc đó lựa chọn phục hình thẩm mỹ răng bằng sứ không kim loại
Bệnh viện thẩm mỹ nha khoa AVA xin giới thiệu:
KỸ THUẬT CHUYỂN ĐỔI MÀU RĂNG NHIỄM TETRA TOÀN DIỆN CHUẨN-16 RĂNG :
-Toàn sứ Ziconia (cercon , procera ) : 48.000.0000 VND
-Phí trên là trọn gói nha khoa thẩm mỹ thay đổi màu răng bịnhiễm tetracyclin . Quí Khách không phải thanh toán bất kỳ chi phí nào nếu như không có yêu cầu từ phí Quí Khách.
