Thiết kế nụ cười đẹp (Smile Design)
Thiết kế nụ cười đẹp (Smile design) là quá trình cải thiện nụ cười của bạn thông qua các quy trình điều trị nha khoa thẩm mỹ như sứ Veneer, đắp mặt composite, Implant nha khoa, tẩy trắng răng…
Những điều cần cân nhắc khi thiết kế nụ cười
Thiết kế nụ cười sẽ xem xét và cân nhắc vẻ ngoài khuôn mặt của bạn, làn da, mái tóc răng ( màu sắc, chiều cao, bề ngang, độ trắng….), mô nướu và môi nâng đỡ bên ngoài để cải thiện nụ cười của bạn. Thiết kế nụ cười sẽ được thực hiện dựa trên nhiều đánh giá khác nhau và dựa trên ý muốn của mỗi người
Bạn thích và không thích điều gì ở nụ cười và hàm răng của bạn? Một số vấn đề mà Bác sĩ sẽ thảo luận để cải thiện nụ cười của bạn:
Màu sắc răng: Miếng trám bạc hoặc amalgam có thể được thay thế với màu trắng đẹp tự nhiên như màu răng thật, trong khi tẩy trắng răng có thể làm răng vàng ố hoặc nhiễm màu trở nên trắng sáng. Màu sắc và hình dạng răng là những yếu tố quan trọng cần được lưu ý và đánh giá trước khi tiến hành bất cứ điều trị nào như veneer, mão, cầu răng sứ, đắp mặt composite hay Implant nha khoa
Cần lưu ý rằng răng bị sậm hoặc đổi màu sẽ làm cho khuôn mặt chúng ta trở nên già nua. Một hàm răng trắng sáng, đều sẽ làm cho khuôn mặt chúng ta trở nên tươi trẻ hơn. Màu sắc và hình dạng của răng bạn sẽ được Bác sĩ chọn lựa kỹ càng dựa trên hình dạng khuôn mặt cũng như kiểu tóc của bạn. Bác sĩ sẽ có những cách thức và kỹ thuật đặc biệt để có thể tạo cho bạn 1 nụ cười trắng sáng hơn trong khi vẫn duy trì màu sắc tự nhiên của răng bạn.
Sắp xếp lại răng: Những răng mọc lệch lạc, hô móm hoặc có khe hở có thể được dựng lại đúng trục cũng như sắp xếp ngay ngắn thông qua chỉnh hình bằng mắc cài hoặc Invisalign.
Thiếu hổng răng: Một hoặc nhiều răng bị thiếu hổng sẽ ảnh hưởng xấu đến nụ cười của bạn - cũng như đến khớp cắn và làm gia tăng nguy cơ bị sâu răng- do đó lắp đầy sự thiếu hổng này là điều vô cùng cần thiết. răng bị thiếu hổng có thể được thay thế bằng Implant nha khoa, cầu răng hay hàm giả tháo lắp.
Sự hài hòa và cân bằng: Răng không cân xứng, bị gãy vỡ có thể được sửa chữa bằng veneer sứ, đắp mặt thẩm mỹ và nụ cười lộ nướu có thể được điều chỉnh bằng phẫu thuật tái tạo đường cười. Tất cả sẽ cải thiện toàn bộ nụ cười của bạn.

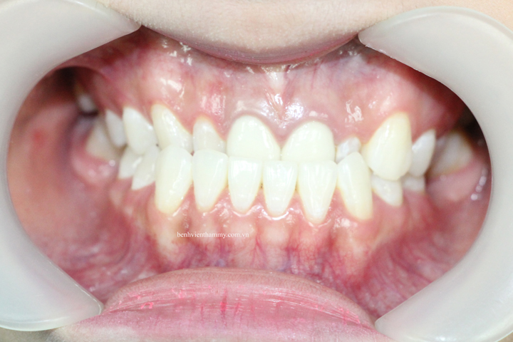
(Trước điều trị)
Một nụ cười đẹp và khỏe mạnh sẽ gây ấn tượng mạnh mẽ cho những người xung quanh bạn. Ở trung tâm nha khoa của chúng tôi, mỗi bệnh nhân sẽ được khám kỹ càng và lấy dấu 2 hàm răng trên và dưới. Sau đó,bác sĩ sẽ nghiên cứu,đo đạc và phân tích nụ cười của bạn đồng thời thảo luận cùng bạn để đưa ra kế hoạch điều trị toàn diện nhất. Sau cùng, chúng tôi sẽ giúp bạn có được một nụ cười đẹp rạng ngời với sự trợ giúp của kỹ thuật tẩy trắng, veneer sứ hoặc chỉnh hình với máng Invisalign trong suốt hay bất cứ điều trị nha khoa nào khác mà bạn cần phải thực hiện.
Và đây là kết quả sau điều trị tại AVA:

