Các bất thường ở răng... do thuốc


Một số loại thuốc, bên cạnh hiệu quả điều trị, có thể gây ra các phản ứng có hại cho răng như làm rối loạn quá trình phát triển răng, gây biến loạn màu sắc hoặc phá hủy các cấu trúc của răng như men răng, ngà răng, tủy răng. Các rối loạn này xảy ra chủ yếu ở trẻ em và có thể tạm thời hoặc vĩnh viễn.

1.Các thuốc gây rối loạn màu sắc của răng:
  • Một số loại muối vô cơ của flo có tác dụng sát khuẩn răng miệng rất tốt nhưng nếu dùng quá nhiều, chúng có thể gây ra các tác động tiêu cực cho răng. Nhiễm nhiều flo ở răng gây mất khoáng chất vĩnh viễn ở men răng, tạo ra các vết rỗ lớn hơn bình thường trên bề mặt răng. Những trường hợp nhẹ, biểu hiện là các đốm trắng nhỏ, khó nhìn thấy bằng mắt thường ở trên mặt nhai của các răng vĩnh viễn. Những trường hợp nặng hơn biểu hiện là các mảng trắng hoặc các đám tối màu rải rác trên bề mặt của các răng vĩnh viễn.
  • Tetracycline cũng là một thuốc điển hình gây ra các biến loạn màu sắc của răng. Loại kháng sinh này có thể làm cho răng bị ố vàng vĩnh viễn. Do tác dụng phụ này, cần tránh sử dụng tetracycline ở trẻ em dưới 12 tuổi. Ngoài ra, các bà mẹ mang thai nếu có dùng tetracycline trong 6 tháng cuối của thai kỳ có thể làm cho những đứa trẻ sinh ra khi mọc răng sẽ có màu vàng, sau đó chuyển dần thành màu xám hoặc nâu. Một kháng sinh khác thuộc nhóm tetracycline là minocycline cũng có thể làm cho răng bị biến đổi thành màu xanh - xám hoặc lục - xám ở khoảng 6% số người dùng thuốc.
Tuy nhiên, ngược với tetracycline, minocycline có thể gây biến đổi màu sắc răng ở cả những người trưởng thành với bộ răng đã phát triển đầy đủ. Một kháng sinh khác là ciprofloxacin cũng được ghi nhận có thể làm cho răng bị chuyển thành màu xanh lục nhạt trong một số trường hợp. Ngược với các biến loạn màu sắc của răng xảy ra vĩnh viễn trong các trường hợp kể trên, một số thuốc có thể gây ra các biến loạn màu sắc tạm thời ở răng như chlorhexidine (một chất sát khuẩn răng miệng) làm cho răng bị nhuộm màu vàng hoặc nâu, các dung dịch muối sắt làm cho răng bị nhuộm đen hoặc kháng sinh amoxicillin - clavulanic acid làm cho răng có màu vàng hoặc nâu xám. Các biến loạn màu sắc này có thể hết khi đánh sạch răng.
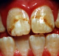
2.Các thuốc gây phá hủy cấu trúc của răng:
  • Tất cả các thuốc dạng sirô dành cho trẻ em có chứa đường đều có nguy cơ gây sâu răng. Bên cạnh đó, một số thuốc như aldomet, promethazine, chlorpromazine, atropine, diazepam, furosemide, amitriptylline có khả năng gây giảm tiết nước bọt dẫn đến khô miệng cũng làm tăng nguy cơ sâu răng. Các thuốc có pH thấp dưới 5,5 như aspirin trong các dung dịch súc miệng họng, một số thuốc điều trị hen dạng xịt hoặc hít như beclometasone, fluticasone, salmeterol và terbutaline sulphate đều có thể gây phá hủy trực tiếp tạo thành các vết rỗ ở răng. Bên cạnh đó, một số thuốc như theophyllin, atropin, progesterone, prednisolon... có thể gây trào ngược dịch vị từ dạ dày lên thực quản và miệng họng, làm tăng độ toan trong miệng dẫn đến phá hủy răng.
Một số thuốc còn có thể gây hiện tượng nghiến răng trong giấc ngủ như thuốc chống trầm cảm 3 vòng, fluoxetine, metoclopropamide, cocaine, amphetamine... Hiện tượng này nếu kéo dài có thể làm mòn mặt nhai của răng và yếu răng.
3.Các thuốc gây rối loạn quá trình phát triển răng:
  • Việc dùng phenytoin trong thời kỳ mang thai có thể gây ra nhiều loại dị tật cho đứa trẻ khi sinh ra như hình dạng sọ mặt bất thường, thiểu sản móng và đầu chi, và rối loạn quá trình phát triển răng. Những đứa trẻ tiếp xúc với phenytoin trước và sau khi sinh thường có tăng kích thước của các răng phía sau của hàm trên, đặc biệt là răng hàm, kể cả răng sữa và răng vĩnh viễn. Sự thay đổi kích thước răng do phenytoin thường gặp ở bé gái hơn so với bé trai. Nói chung, tốc độ trưởng thành của răng không bị ảnh hưởng đáng kể. Răng thưa là biểu hiện đáng kể nhất được quan sát thấy trên lâm sàng, nhưng trong một số trường hợp, quá trình tạo chân răng cũng có thể bị ảnh hưởng. Hiện nay, cơ chế tác động của phenytoin đối với răng còn chưa được hiểu rõ.
Bên cạnh các thuốc trên, một số hóa trị liệu chống ung thư cũng có thể gây phá hủy răng và ảnh hưởng đến quá trình phát triển răng nếu được dùng ở trẻ em dưới 5 tuổi. Mức độ ảnh hưởng của thuốc đối với sự phát triển của răng phụ thuộc vào tuổi bắt đầu dùng thuốc, liều dùng và thời gian điều trị. Các bất thường ở răng thường gặp là không mọc răng, răng nhú ra nhưng không phát triển, tật răng nhỏ và các rối loạn không đặc hiệu ở men răng và ngà răng.
  • Các thuốc chẹn bêta giao cảm như propranolol, metoprolol (thường được dùng trong điều trị tăng huyết áp, bệnh mạch vành...) cũng đã được chứng minh có thể làm tăng nguy cơ gây sâu răng ở cổ và chân răng. Mặc dù cơ chế của hiện tượng này còn chưa được hiểu rõ nhưng những bệnh nhân được điều trị với các loại thuốc này nên được kiểm tra răng miệng định kỳ để phát hiện sớm các ổ sâu răng.
Nguồn: Báo Sức khỏe & Đời sống