Một số phương pháp làm răng thẩm mỹ
Hiện ngành nha khoa đã áp dụng được nhiều phương pháp làm răng thẩm mỹ như tẩy trắng bằng thuốc, kết hợp thuốc và laser, làm răng sứ... Mỗi phương pháp đều có ưu nhược điểm riêng.
1.Tẩy trắng răng bằng thuốc

- Những răng dự định tẩy trắng cần được kiểm tra phát hiện sâu răng để hàn kín trước khi tẩy. Bệnh nhân được nha sĩ lấy khuôn răng, sau đó đổ mẫu thạch cao, trên phủ một lớp composite mỏng ở vị trí định tẩy. Mẫu được đưa tới xưởng để ép một máng plastic trong suốt, cắt khít theo chu vi cổ răng. Khi bệnh nhân đeo máng này, sẽ không ai phát hiện ra vì màu trong của nó. Bệnh nhân sẽ được hướng dẫn cách bơm thuốc vào trong máng rồi đưa vào hai hàm răng, thuốc sẽ nằm trong khoảng giữa máng và răng.
Thời gian đeo máng trong miệng phụ thuộc vào nồng độ thuốc và quy định của nhà sản xuất, thường từ 4 đến 10 giờ một ngày. Trong thời gian đeo máng, bệnh nhân không được ăn nhai nhưng có thể uống bình thường. Khi lấy máng ra, phải dùng bàn chải răng cọ sạch máng và chải sạch răng.
- Ưu điểm: Có thể dùng cho tất cả mọi người, không phải mài răng.
- Nhược điểm: Chỉ tác dụng làm trắng răng, không chỉnh sửa được răng lệch lạc và sứt mẻ. Trong thời gian tẩy, bệnh nhân thấy hơi buốt răng.
2.Tẩy trắng răng bằng thuốc kết hợp ánh sáng laser
Các răng sắp tẩy cũng được khám phát hiện và hàn kín lỗ sâu. Nha sĩ sẽ tẩy răng ngay tại phòng khám. Một tấm cao su mỏng sẽ được đục lỗ để các răng chui qua, tấm này có tác dụng bảo vệ lợi không tiếp xúc với thuốc. Thuốc tẩy răng được bôi lên mặt ngoài các răng, sau đó mặt răng được chiếu laser. Các phân tử thuốc bị ánh sáng kích thích sẽ ngấm vào răng nhanh hơn. Sau 60 đến 90 phút, răng bạn sẽ trắng ra. Phương pháp này có ưu điểm là đạt được kết quả nhanh chóng nhưng đắt tiền hơn phương pháp tẩy răng bằng thuốc thông thường.
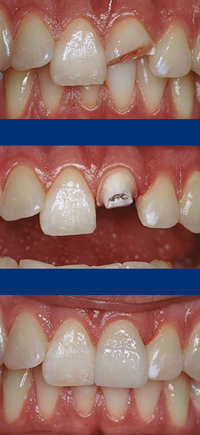
3.Dùng mặt dán veneer trên mặt ngoài các răng

(Mặt dán veneer sứ 2 răng cửa giữa hàm trên)
Răng được mài mặt ngoài 0,3 mm, được khía các vạch trên mặt răng, sau đó được phủ mặt veneer sứ hoặc composite.
- Ưu điểm: Tạo được màu răng mong muốn, có thể sửa chữa những sứt mẻ nhỏ ở men răng (ví dụ răng thiểu sản men).
Nhược điểm: Chỉ thực hiện được với người có hàm răng đều và tương đối đều, không áp dụng được với răng khấp khểnh và sứt mẻ nhiều. Bệnh nhân không được cắn thức ăn cứng (ví dụ xương...) vào răng phủ veneer vì dễ vỡ mẻ.
4.Làm răng sứ
Bác sĩ làm chụp bọc răng. Răng được mài nhỏ đi, mỗi mặt bị mài từ 0,5 đến 1,5 mm. Trường hợp răng mọc lệch, khấp khểnh nhiều thì cần mài nhiều hơn. Răng mài nhiều có thể cần được chữa tủy. Có nhiều loại chụp:
- Chụp sứ toàn phần đạt thẩm mỹ cao nhất, thường làm với răng cửa và răng nanh.
- Chụp sứ lõi kim loại thường làm với răng hàm lớn và răng hàm nhỏ.
- Chụp thép cẩn nhựa áp dụng cho các răng ở hàm trên (thẩm mỹ kém hơn răng sứ). Răng nhựa toàn bộ có ưu điểm rẻ tiền nhưng độ bền kém và dễ có mùi hôi.
Ưu điểm: Tạo được màu trắng và hình thể răng như ý muốn. Là phương pháp có tính thẩm mỹ cao nhất.
Nhược điểm: Phải mài răng, có thể phải chữa tủy răng. Giá thành tương đối cao.
Th.S LÊ LONG NGHĨA, Sức Khỏe & Đời Sống