Răng sứ Zirconia là gì ?
Zirconia (ZrO2) là oxit của kim loại Zirconium (Zr) được phát hiện từ rất lâu. Do có tính chất đặc biệt, Zirconia được sử dụng rộng rãi trong các nghành công nghiệp kỹ thuật cao như: làm vỏ tàu vũ trụ con thoi, thắng xe hơi,...Zirconia còn được sử dụng rộng rãi trong y khoa từ lâu do có đặc tính tương hợp sinh học tốt, như thay thế khớp hông, khớp gối nhân tạo,...
Zirconia có những tính chất đặc biệt hiếm có ở những vật liệu khác như : màu trắng , rất cứng,có khả năng chống đứt gẫy và khả năng chống mài mòn cao...Zirconia đã được các nhà khoa học nghiên cứu và tạo ra loại vật liệu có thành phần cơ bản là Zirconia ( tạm gọi là vật liệu Zirconia) để ứng dụng an toàn vào nha khoa để thực hiện cùi giả, implant và implant abutments, mắc cài chỉnh nha và làm "khung sườn" cho mão và cầu răng sứ ...

Abutment-zirconia
Implant abutment
Vật liệu Zirconia dùng cho phục hình sứ trong nha khoa rất cứng và nhiệt độ nóng chảy rất cao, nên không thể dùng phương pháp đúc thông thừơng để tạo ra một "khung sườn" để nâng đỡ cho lớp sứ phủ bên ngoài liên kết với nó (giống như bộ xương người dùng để nâng đỡ toàn bộ cơ thể).

"Khung sườn" và hệ thống máy CAD/CAM nha khoa
Do đó để tạo ra một "khung sườn" như trên,vật liệu Zirconia được "tiện" bằng hệ thống máy chuyên dụng dùng trong nha khoa theo phương pháp CAD/CAM (Computer-Aided Design/ Computer-Aided Manufacturing ).

Đắp sứ lên "khung sườn"
Sau đó, "khung sườn" này được đắp lên những lớp sứ và đem đi "nung" cho giống hình dáng và màu răng thật của từng bệnh nhân. Tạo ra một răng sứ có "khung sườn" làm bằng vật liệu Zironia ( răng sứ kim loại có khung sườn làm bằng hợp kim ) hay còn gọi là răng sứ Zirconia .

Răng sứ hoàn tất sau khi "nung"

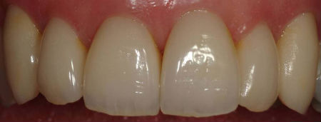
Răng sứ được gắn trên miệng bệnh nhân .
Bs. Phạm Minh Cường