Mòn răng thông tin cần biết
Mòn răng
• Định nghĩa: tổn thương mô răng do tác nhân cơ
học, hóa học, hay kết hợp
• Nguyên nhân:
-Chà xát/ ma sát với vật liệu ngoại lai khi nhai,
chải răng
-Giữ vật dụng bằng răng
-Ảnh hưởng của răng đối kháng
-Tác động của lực kéo căng và nén khi răng uốn
-Hòa tan hóa học
1. Mòn răng cơ học do tác nhân của vật bên ngoài (Abrasion):

• Nguyên nhân:
- Phương thức VSRM (chải răng/sử dụng
chỉ quá mức, kem đánh răng)
- Thói quen
- Nghề nghiệp
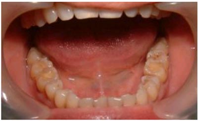
2.Mòn răng cơ học do tác nhân răng đối kháng(Attrition):

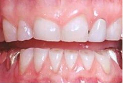
3.Mòn răng do áp lực( Abfraction):

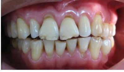
Mòn cơ học là hậu quả của áp lực kép căng và nén hay làm đứt vỡ tác động lên vùng tiếp nối men – cement gây ra vi nứt trên men và ngà
4.Mòn răng do tác động hóa học (Erosion):

-Tổn thương mô răng do tác động hóa học của acid (ngoại lai / nội tại) hoặc do chất chelat (chelator) trên mặt răng không có mảng bám
Đặc trưng:
- Mất cấu trúc bề mặt
- Hình dạng bề mặt thay đổi, múi, rãnh mất nét
- Mặt lõm nông trên thân răng vùng cổ răng
benhvienthammy.com.vn